honeypot link
skip to main content
Professional
Consumer
Merck Manual
Professional Version
MEDICAL TOPICS
RESOURCES
DRUG INFO
COMMENTARY
PROCEDURES
QUIZZES
ABOUT US
MEDICAL TOPICS
RESOURCES
<
Images
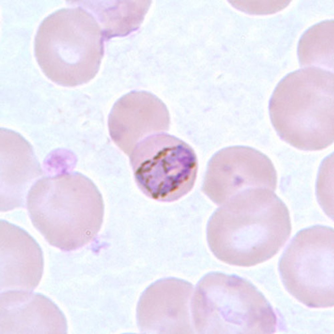
Trophozoite of
P. malariae
This image shows a band-form trophozoite of
P. malariae
in a thin blood smear.
CDC/DPDx
In these topics
Malaria
>