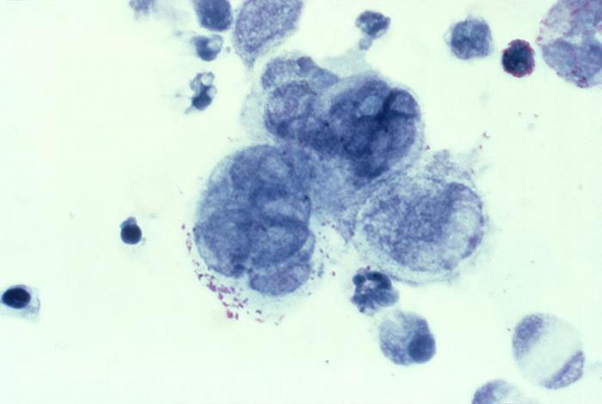
Tzanck Test
With Tzanck testing, the base and sides of a vesicle are scraped with a scalpel, and the material is stained with Wright or Giemsa stain. Multinucleated giant cells are a sign of herpes simplex or herpes zoster infection.
Photo courtesy of Joe Miller via the Public Health Image Library of the Centers for Disease Control and Prevention.
In these topics
