Ultrasound of a Benign Ovarian Mass
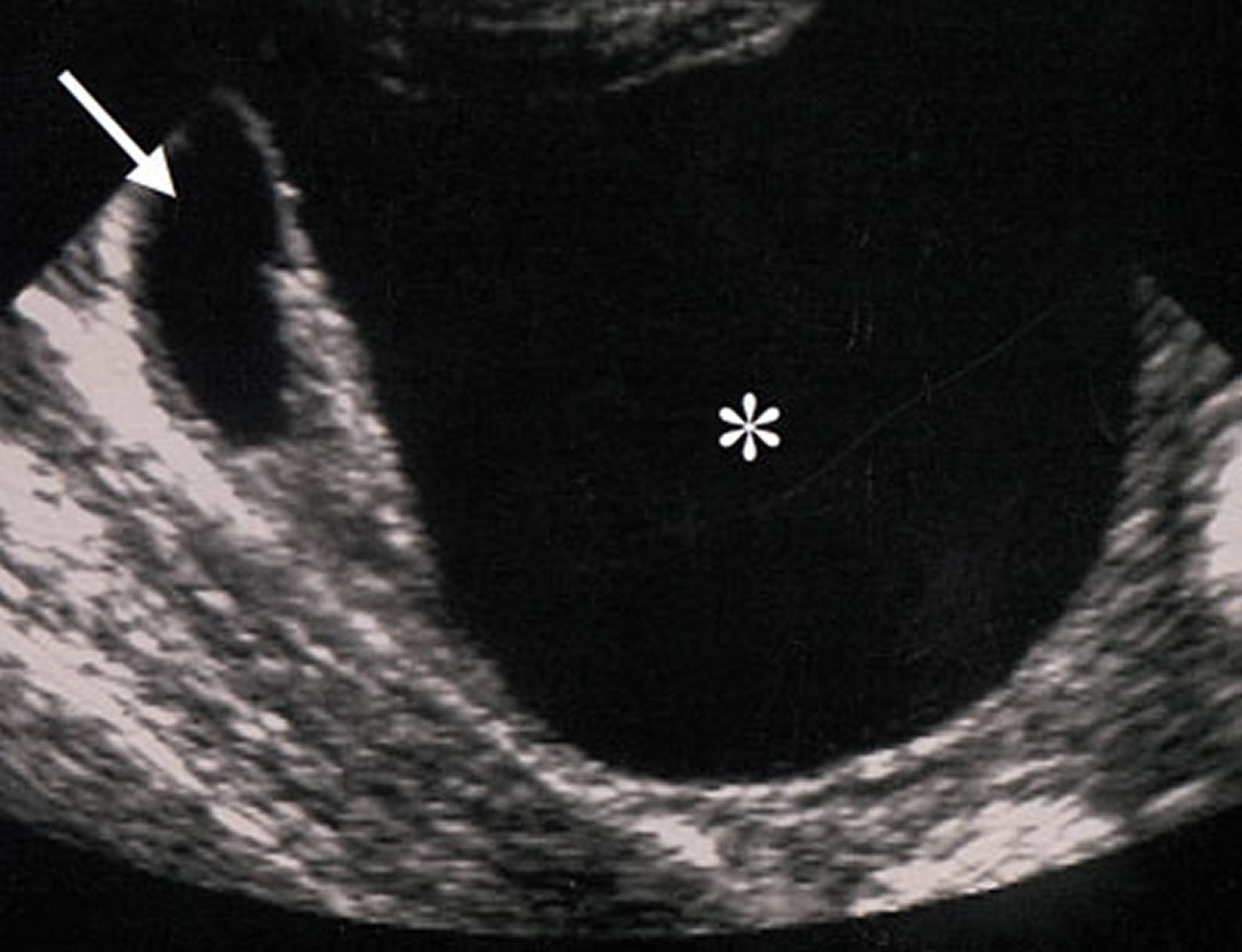
Ultrasound characteristics of this ovarian mass (indicated by an asterisk) suggest that the mass is benign. The mass is anechoic (suggesting absence of solid components), regular, well-circumscribed, and without wall thickening or excrescences.
By permission of the publisher. From Hricak H, Coakley F, Bergman A. In Atlas of Cancer. Edited by M Markman, RR Barakat, and WJ Hoskins. Philadelphia, Current Medicine, 2002.
In these topics
