Ultrasound of a Malignant Ovarian Mass
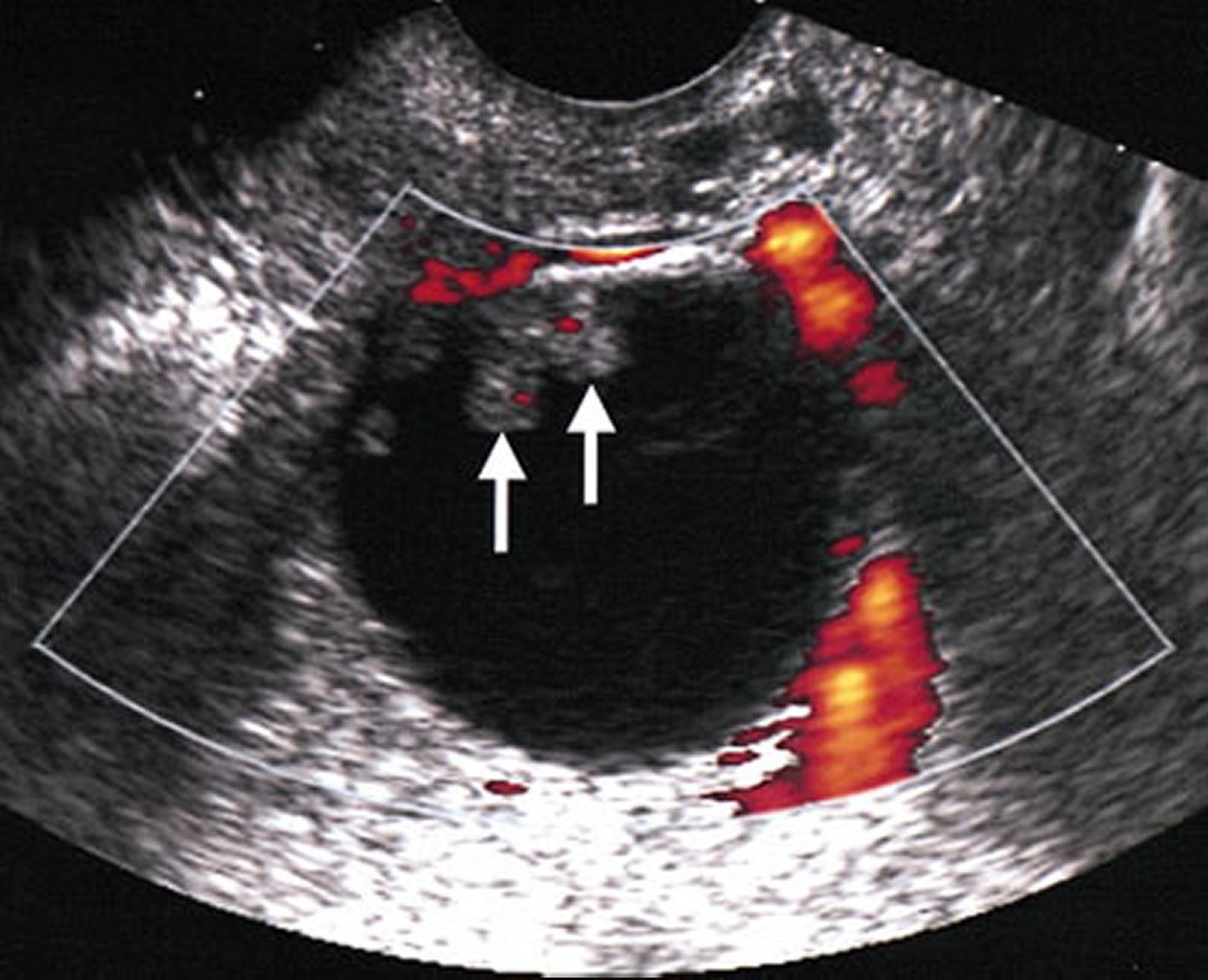
In this ovarian mass, malignancy is suggested by the presence of echogenic solid components (indicated by arrows) within an otherwise anechoic cystic mass. A Doppler study shows flow within these solid components, confirming that they represent solid malignant components.
By permission of the publisher. From Hricak H, Coakley F, Bergman A. In Atlas of Cancer. Edited by M Markman, RR Barakat, and WJ Hoskins. Philadelphia, Current Medicine, 2002.
In these topics
