Ziehl-Neelsen Stain (Mycobacterium leprae)
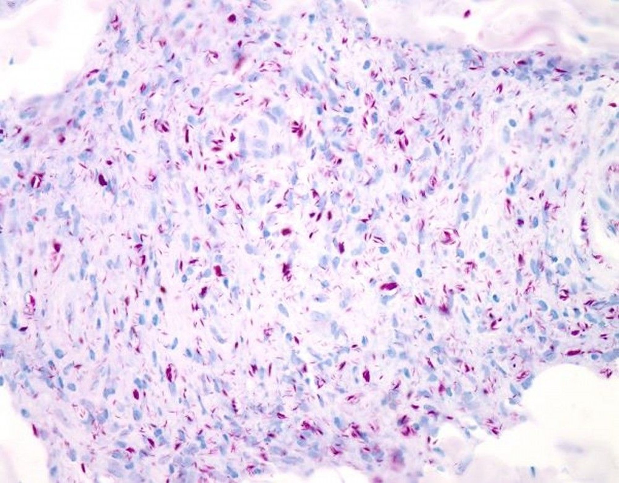
This image is a light micrograph of modified Ziehl-Neelsen–stained (Wade-Fite stain) M. leprae in a skin biopsy from a person with lepromatous leprosy. The mycobacteria appear red and are present in large numbers, singly as well as in clusters (globi). Magnification is 20X when printed at 10-cm wide.
WEBPATHOLOGY/SCIENCE PHOTO LIBRARY
In these topics
