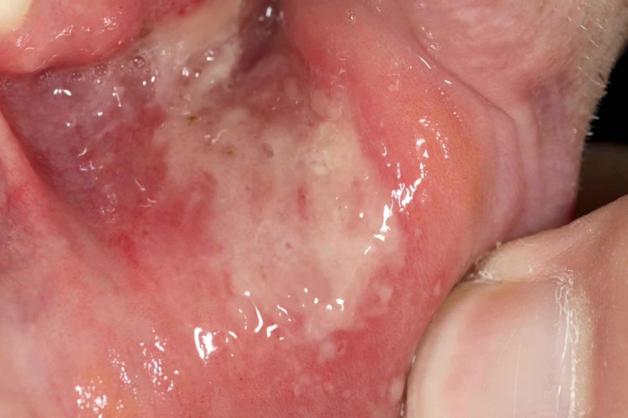
Úlcera aftosa mayor
Esta fotografia muestra una úlcera aftosa mayor (área blanquecina) dentro del labio.
DR P. MARAZZI/SCIENCE PHOTO LIBRARY
En estos temas
Esta fotografia muestra una úlcera aftosa mayor (área blanquecina) dentro del labio.
DR P. MARAZZI/SCIENCE PHOTO LIBRARY