Accidente cerebrovascular isquémico agudo (RM)
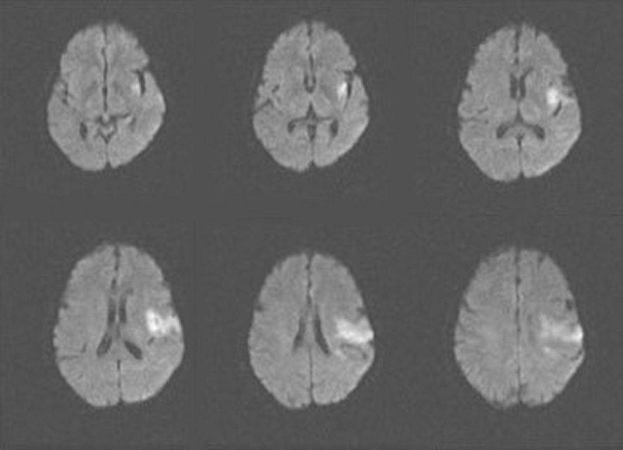
Esta RM muestra un área de difusión restringida compatible con un accidente cerebrovascular isquémico agudo en los lóbulos insular y frontal izquierdo.
Image courtesy of Ji Y. Chong, MD.
En estos temas
Esta RM muestra un área de difusión restringida compatible con un accidente cerebrovascular isquémico agudo en los lóbulos insular y frontal izquierdo.
Image courtesy of Ji Y. Chong, MD.