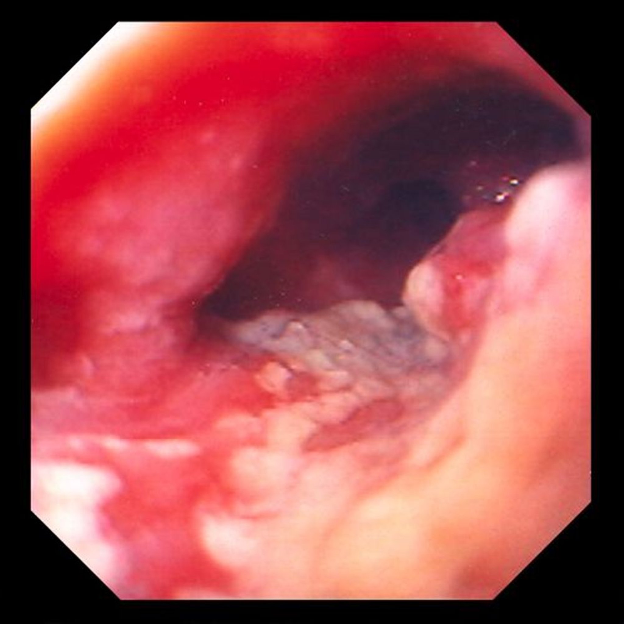
Adenocarcinoma de esófago
Esta imagen muestra un tumor ulcerado y constrictivo localizado en el segmento distal del esófago, que es altamente sugestivo de adenocarcinoma, originado a partir de cambios cilíndricos metaplásicos (esófago de Barrett).
Image provided by David M. Martin, MD.
En estos temas
