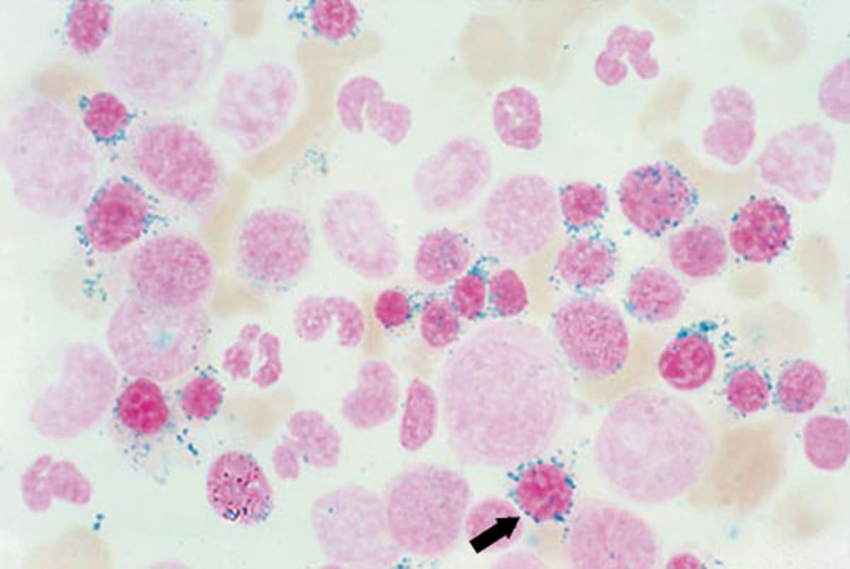
Anillo de sideroblastosis en la anemia sideroblástica
En la anemia sideroblástica se observan sideroblastos en anillo en la médula ósea (flecha). Estos anillos son precursores eritroides cuyas mitocondrias (localizadas alrededor del núcleo) están cargadas de hierro no hemo.
By permission of the publisher. From Tefferi A, Li C. In Atlas of Clinical Hematology. Edited by JO Armitage. Philadelphia, Current Medicine, 2004.
En estos temas
