Astrocitoma anaplásico
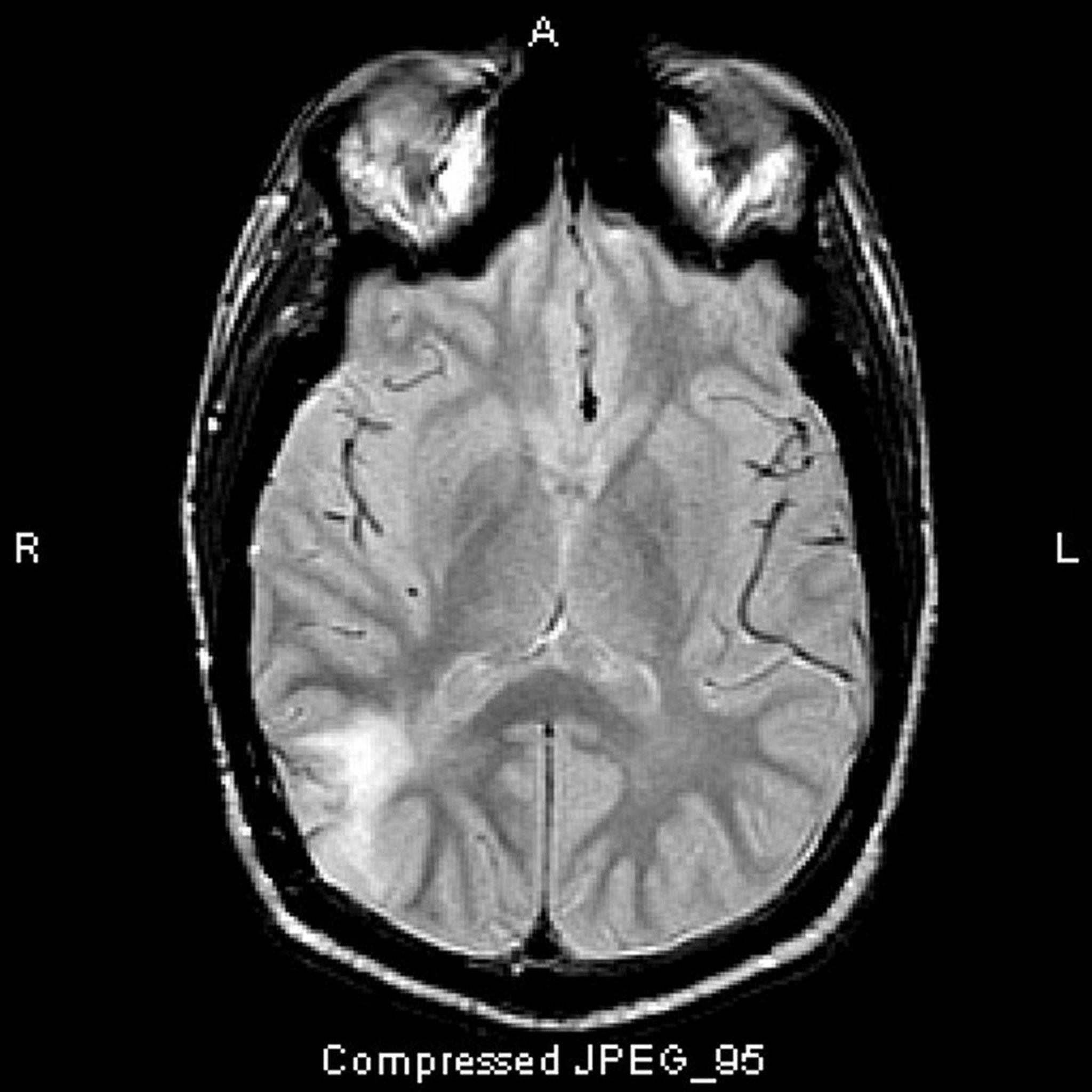
Esta RM T2-FLAIR muestra una señal blanca en el lóbulo temporal posterior. La señal no es mejorada por el contraste. Es un astrocitoma anaplásico (grado III).
Image courtesy of William R. Shapiro, MD.
En estos temas
Esta RM T2-FLAIR muestra una señal blanca en el lóbulo temporal posterior. La señal no es mejorada por el contraste. Es un astrocitoma anaplásico (grado III).
Image courtesy of William R. Shapiro, MD.