Ateroembolia renal
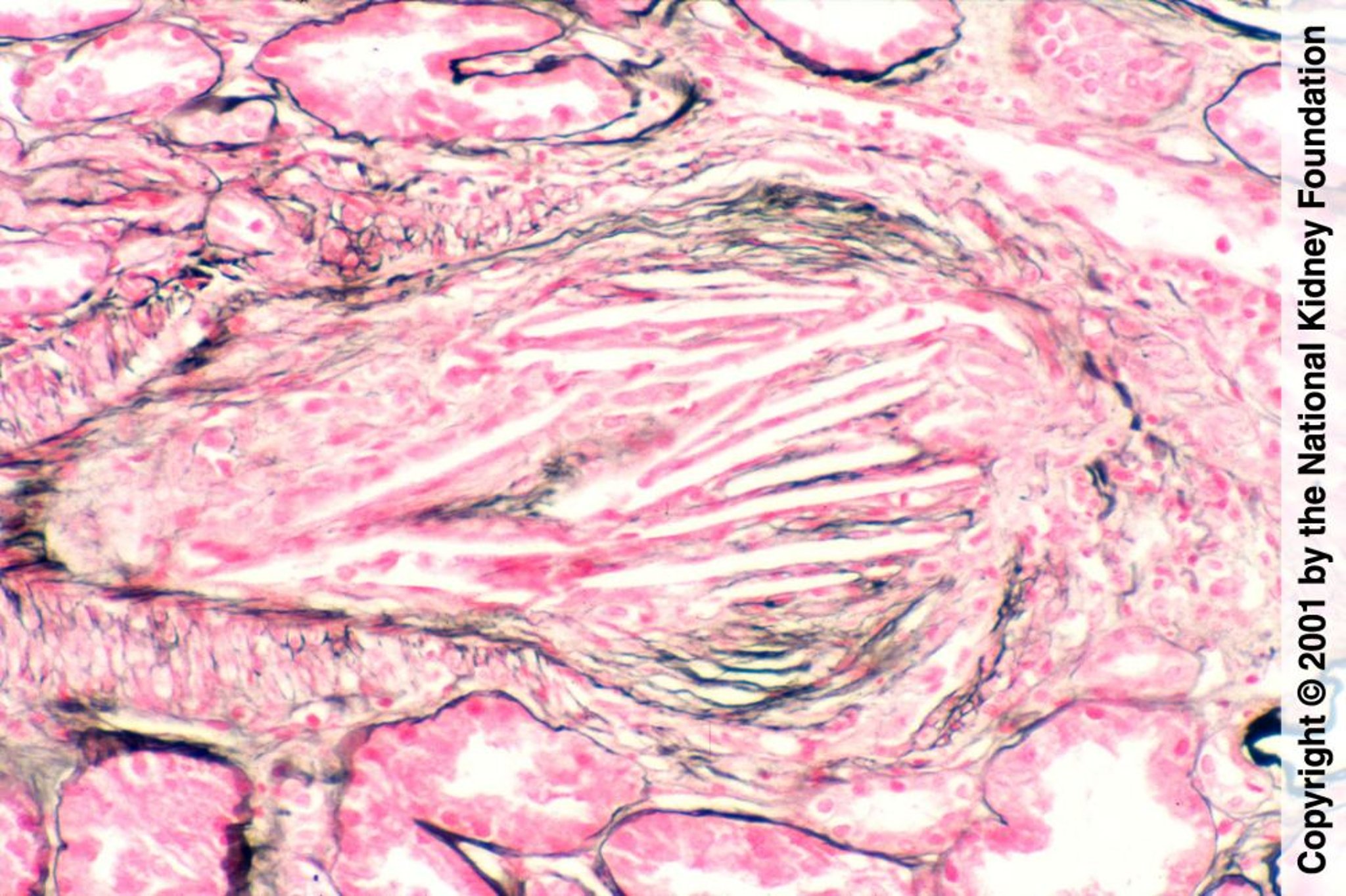
Las ateroembolias renales se disuelven durante la fijación del tejido, dejando hendiduras en forma de agujas bicóncavas en vasos de 100 a 200 micrones de diámetro (tinción de plata de Jones, ×200).
Image provided by Agnes Fogo, MD, and the American Journal of Kidney Diseases' Atlas of Renal Pathology (véase www.ajkd.org).
En estos temas
