Carcinoma epidermoide de esófago
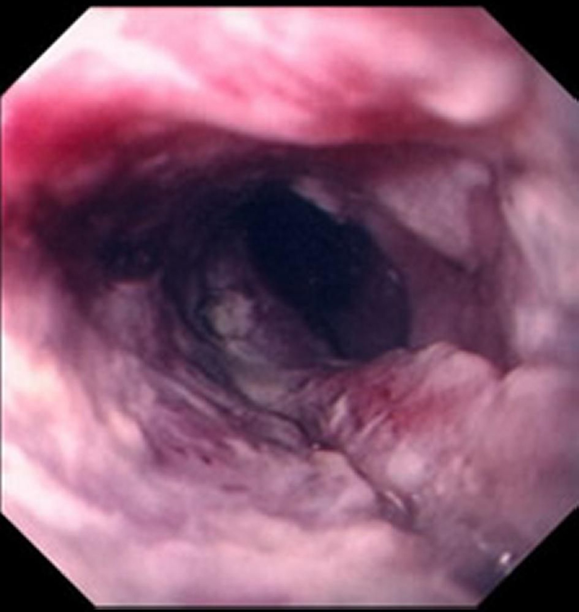
Por lo general, el carcinoma epidermoide se manifiesta por una masa ulcerada, irregular, que compromete la luz del esófago.
Images provided by David M. Martin, MD.
En estos temas
Por lo general, el carcinoma epidermoide se manifiesta por una masa ulcerada, irregular, que compromete la luz del esófago.
Images provided by David M. Martin, MD.