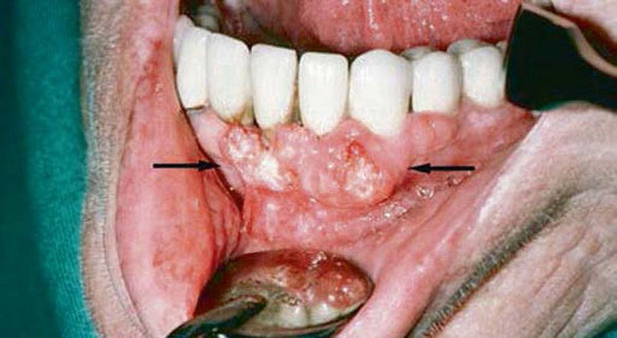
Carcinoma epidermoide (lesiones gingivales)
El examen gingival de este paciente mostró evidencias de carcinoma epidermoide. Los estudios de diagnóstico por imágenes mostraron la invasión de la mandíbula.
© Springer Science+Business Media
En estos temas
