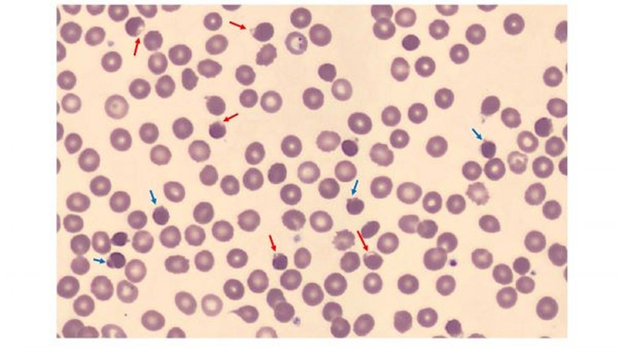
Deficiencia hereditaria de eritrocitos G6PD
El frotis de sangre pertenece a un hombre de 37 años con deficiencia hereditaria de G6PD. Muestra muchos degmacitos (flechas rojas) debido a la precipitación de la hemoglobina dañada dentro de las células. También muestra esferocitos (flechas azules) con daño de la membrana debido a la unión con la hemoglobina oxidada.
Image courtesy of Jerry L. Spivak, MD.
En estos temas
