Displasia fibrosa
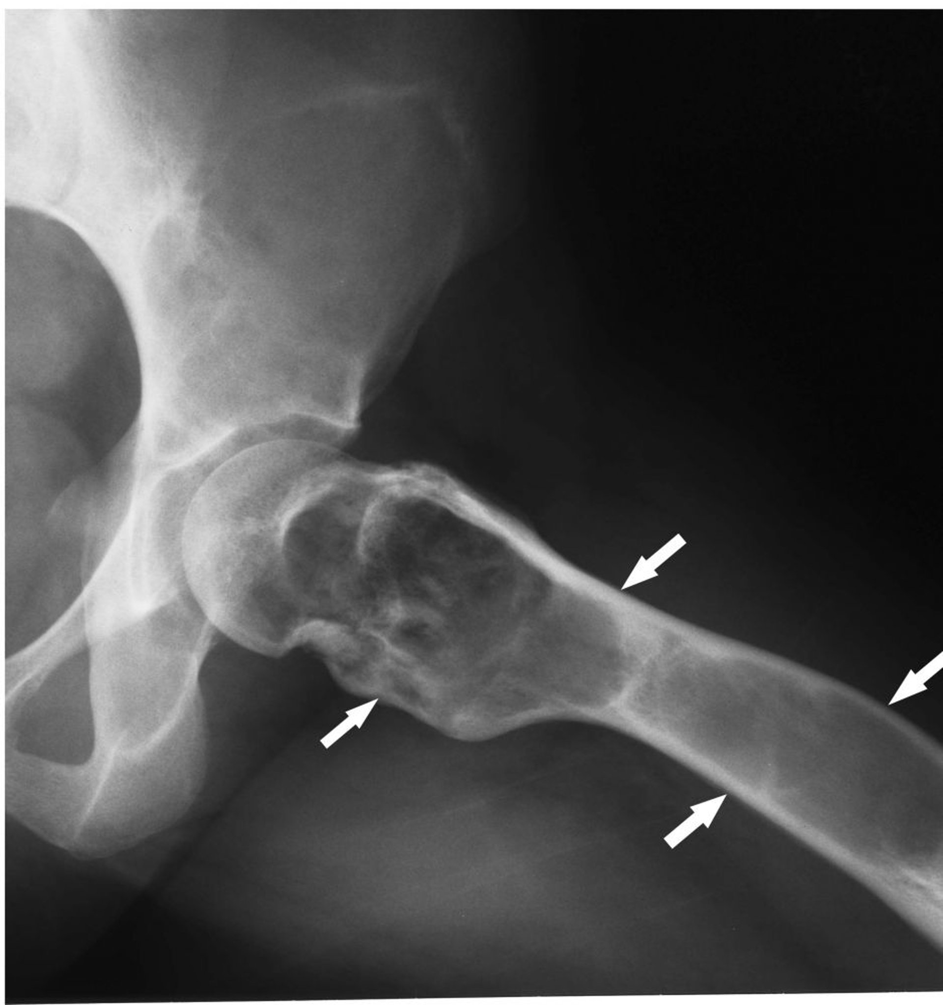
Esta radiografía de la cadera muestra displasia fibrosa (flechas) con expansión cortical y matriz de vidrio esmerilado.
Image courtesy of Michael J. Joyce, MD, and Hakan Ilaslan, MD.
En estos temas
Esta radiografía de la cadera muestra displasia fibrosa (flechas) con expansión cortical y matriz de vidrio esmerilado.
Image courtesy of Michael J. Joyce, MD, and Hakan Ilaslan, MD.