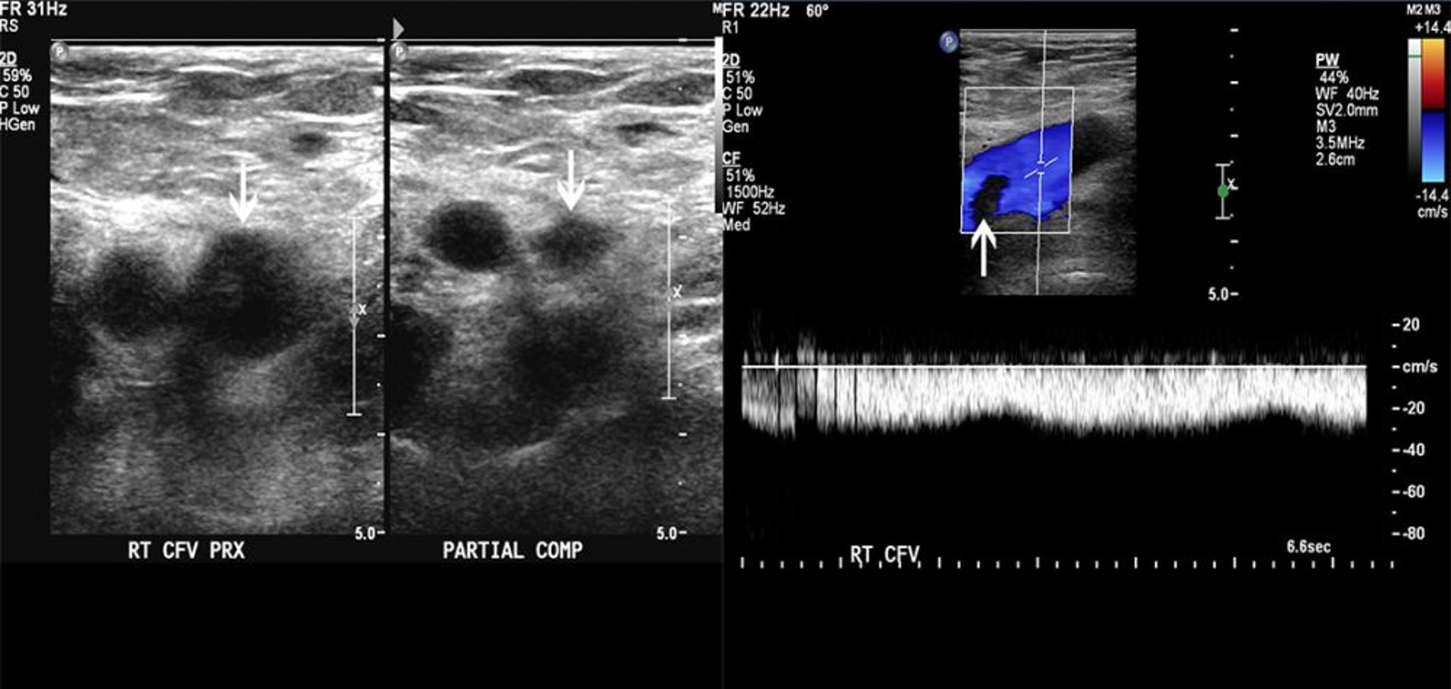
Ecografía Doppler de un paciente con un trombo en la vena femoral
La imagen de la izquierda muestra la compresibilidad parcial de la vena femoral común (flechas). La imagen de la derecha muestra un defecto de llenado en el flujo Doppler color. Estos hallazgos son compatibles con un trombo.
© 2017 Elliot K. Fishman, MD.
En estos temas
