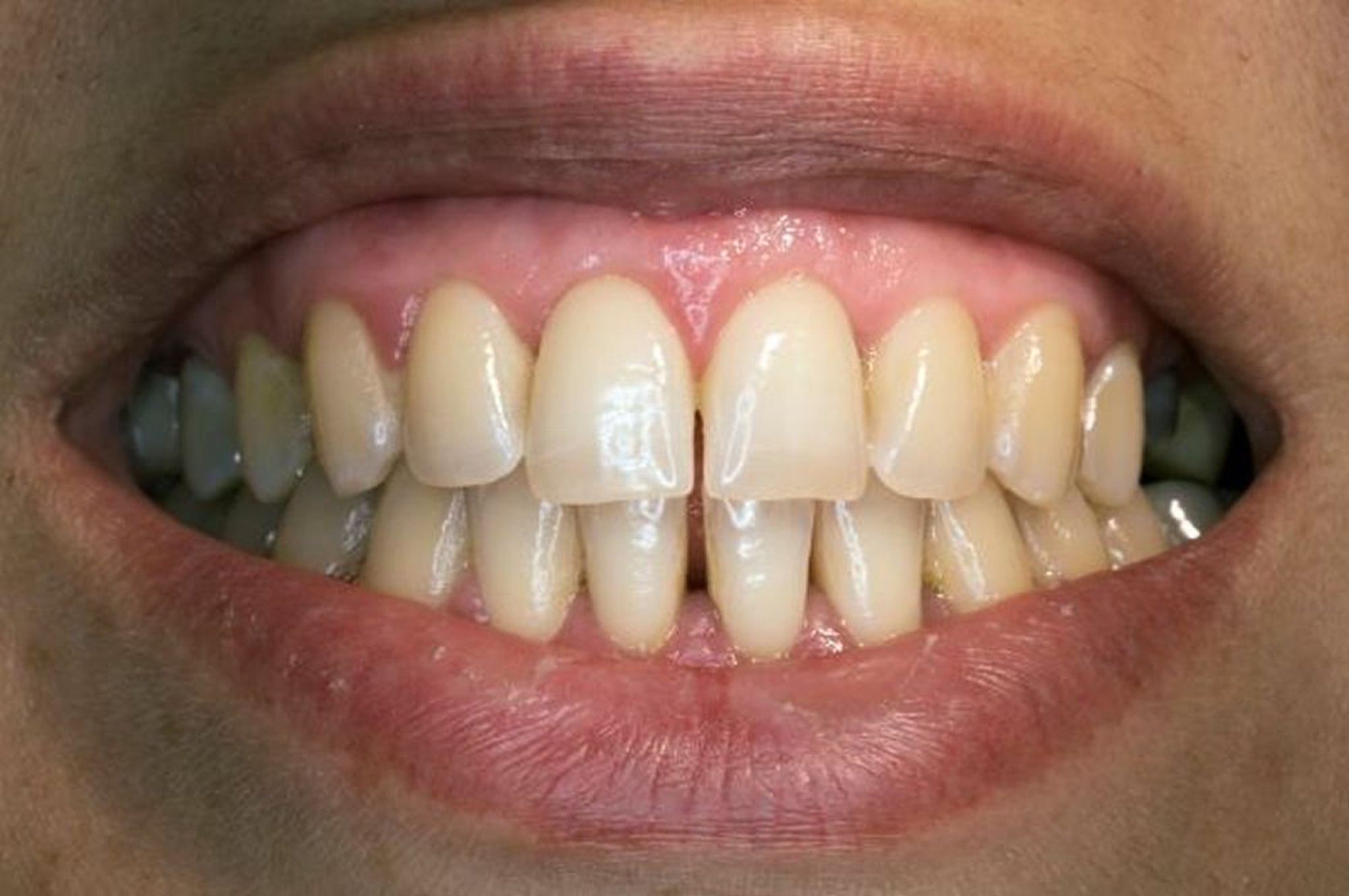
Encías y dientes relativamente sanos
La boca relativamente sana que se muestra aquí revela algunas manchas y cálculos, pero las encías están sanas: firmes, bien adaptadas a los dientes y contorneadas para formar papilas interdentales finas.
DR ARMEN TARANYAN/SCIENCE PHOTO LIBRARY
En estos temas
