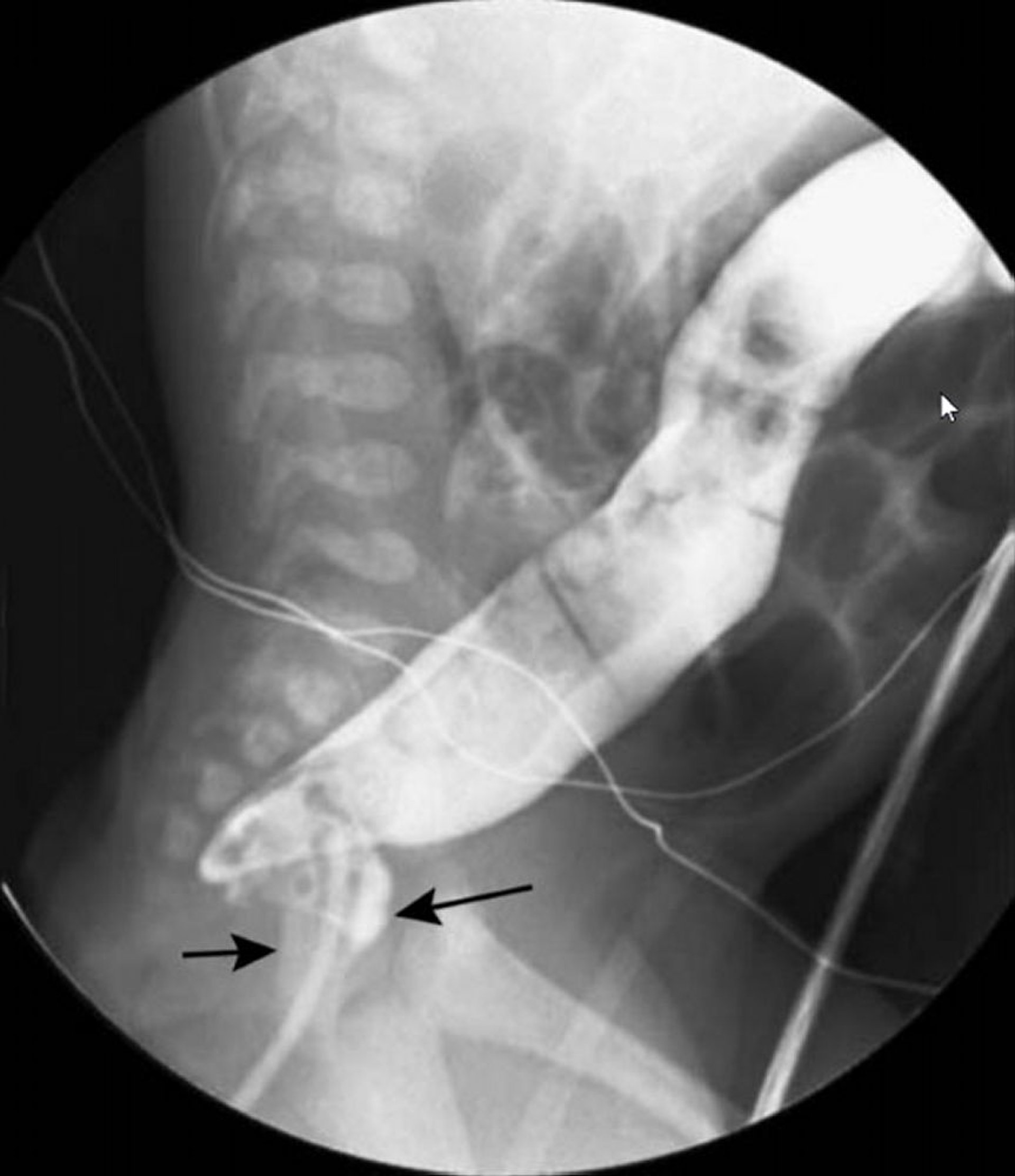
Enema de bario con un solo medio de contraste que muestra el aspecto en cuello de cisne de la enfermedad de Hirschsprung
En esta imagen, el enema de bario muestra un recto estrechado (flechas negras) y un colon dilatado (flecha blanca) más proximal.
© Springer Science+Business Media
En estos temas
