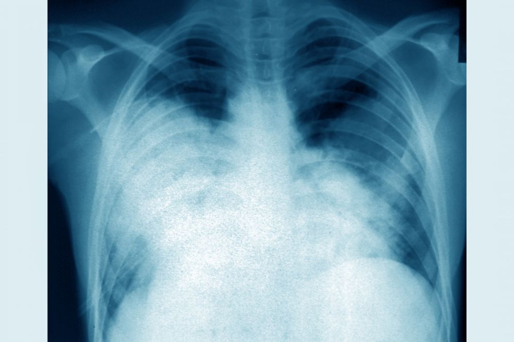
Enfermedad del legionario (radiografía de tórax)
Esta radiografía frontal de tórax muestra una neumonía bilateral aguda (enfermedad del legionario causada por Legionella pneumophila).
CAVALLINI JAMES/BSIP/SCIENCE PHOTO LIBRARY
En estos temas
Esta radiografía frontal de tórax muestra una neumonía bilateral aguda (enfermedad del legionario causada por Legionella pneumophila).
CAVALLINI JAMES/BSIP/SCIENCE PHOTO LIBRARY