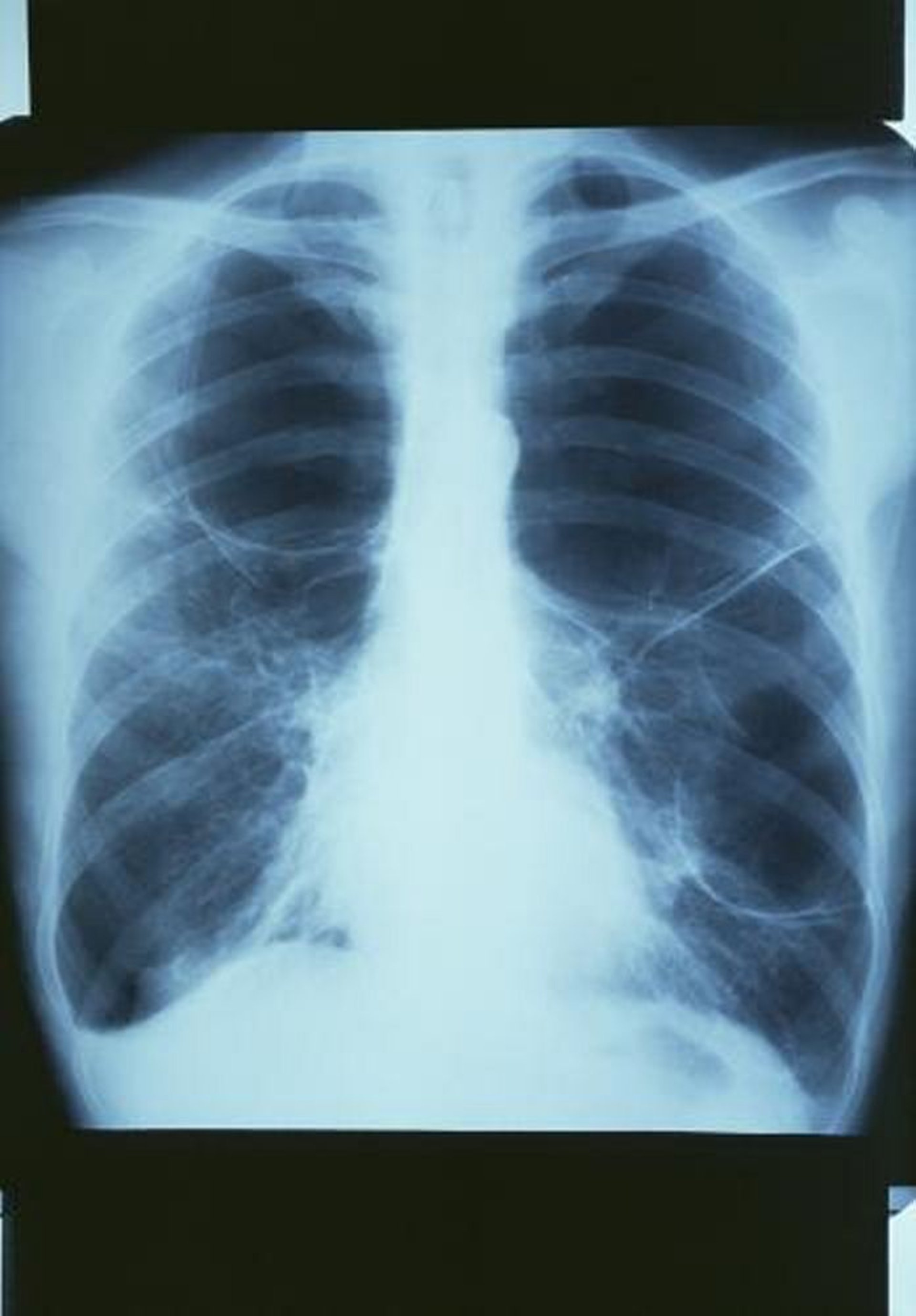
Enfermedad pulmonar obstructiva crónica con bullas
Esta radiografía de tórax muestra una ampolla grande en el pulmón superior derecho y 2 ampollas grandes en el pulmón izquierdo.
GJLP/CNRI/SCIENCE PHOTO LIBRARY
En estos temas
Esta radiografía de tórax muestra una ampolla grande en el pulmón superior derecho y 2 ampollas grandes en el pulmón izquierdo.
GJLP/CNRI/SCIENCE PHOTO LIBRARY