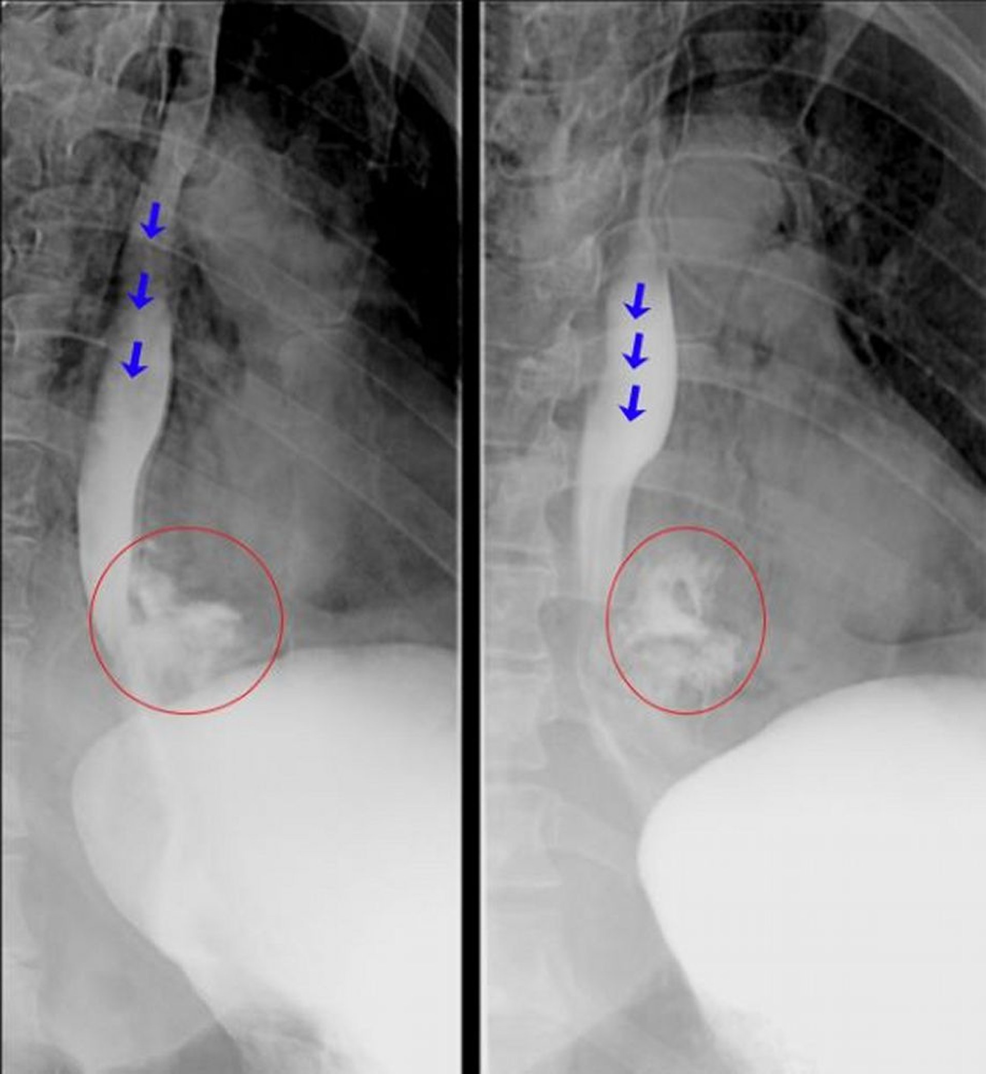
Esofagografía con medio de contraste hidrosoluble del diagnóstico
Estos esofagogramas fluoroscópicos muestran una extravasación franca de material de contraste del esófago distal compatible con una perforación esofágica. Las flechas azules destacan el material de contraste dentro de la luz del esófago. Los círculos rojos destacan el material de contraste extravasado del esófago.
© Springer Science+Business Media
En estos temas
