Espondilitis anquilosante
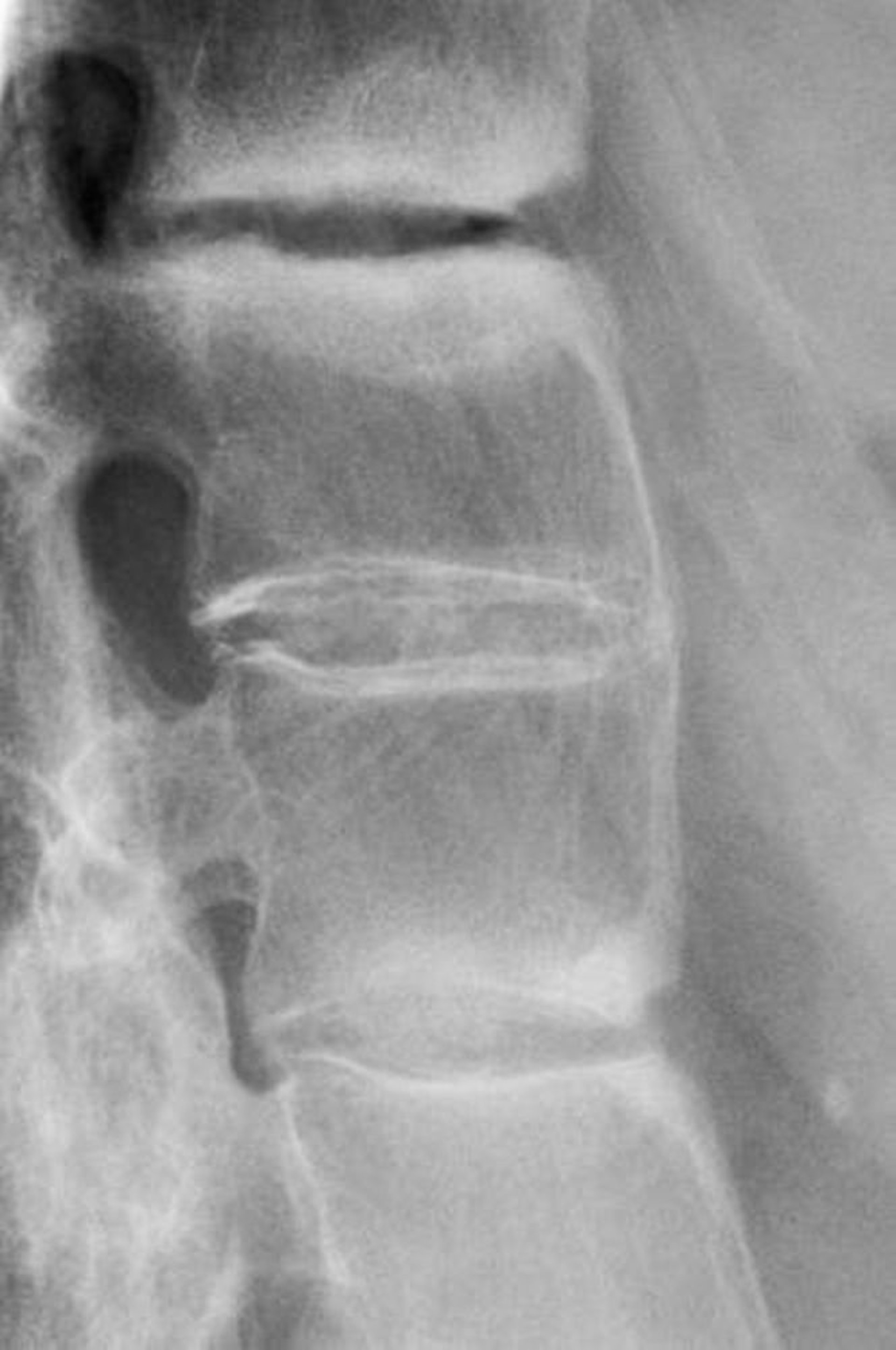
Esta radiografía muestra esclerosis entre las vértebras lumbares, pérdida de la lordosis y fusión de las vértebras lumbares, un hallazgo que indica espondilitis anquilosante avanzada.
DR P. MARAZZI/SCIENCE PHOTO LIBRARY
En estos temas
