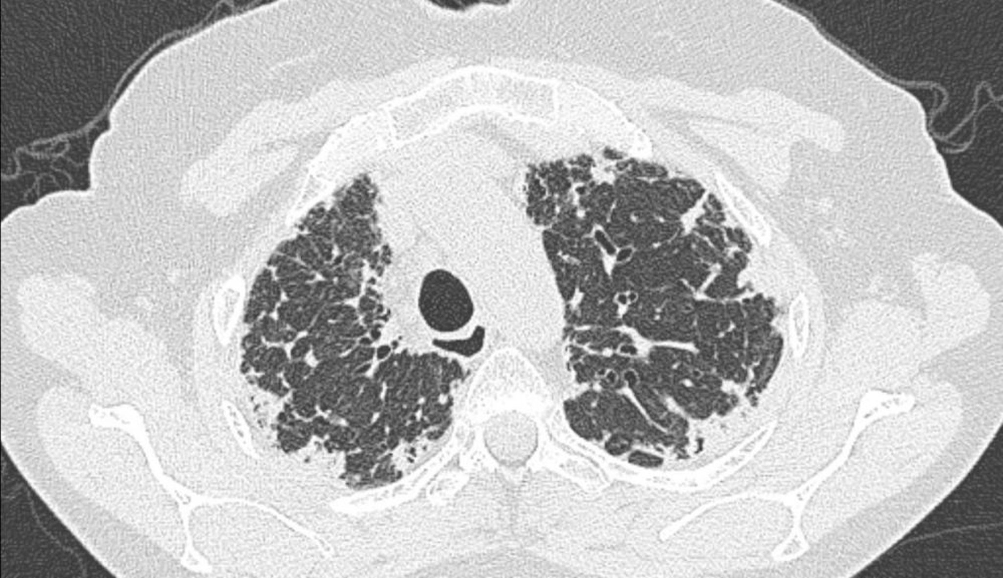
Fibroelastosis pleuroparenquimatosa idiopática (TC)
La tomografía computarizada de tórax muestra engrosamiento pleural y subpleural.
Image courtesy of Joyce S. Lee, MD, MAS.
En estos temas
La tomografía computarizada de tórax muestra engrosamiento pleural y subpleural.
Image courtesy of Joyce S. Lee, MD, MAS.