Fibroma condromixoide
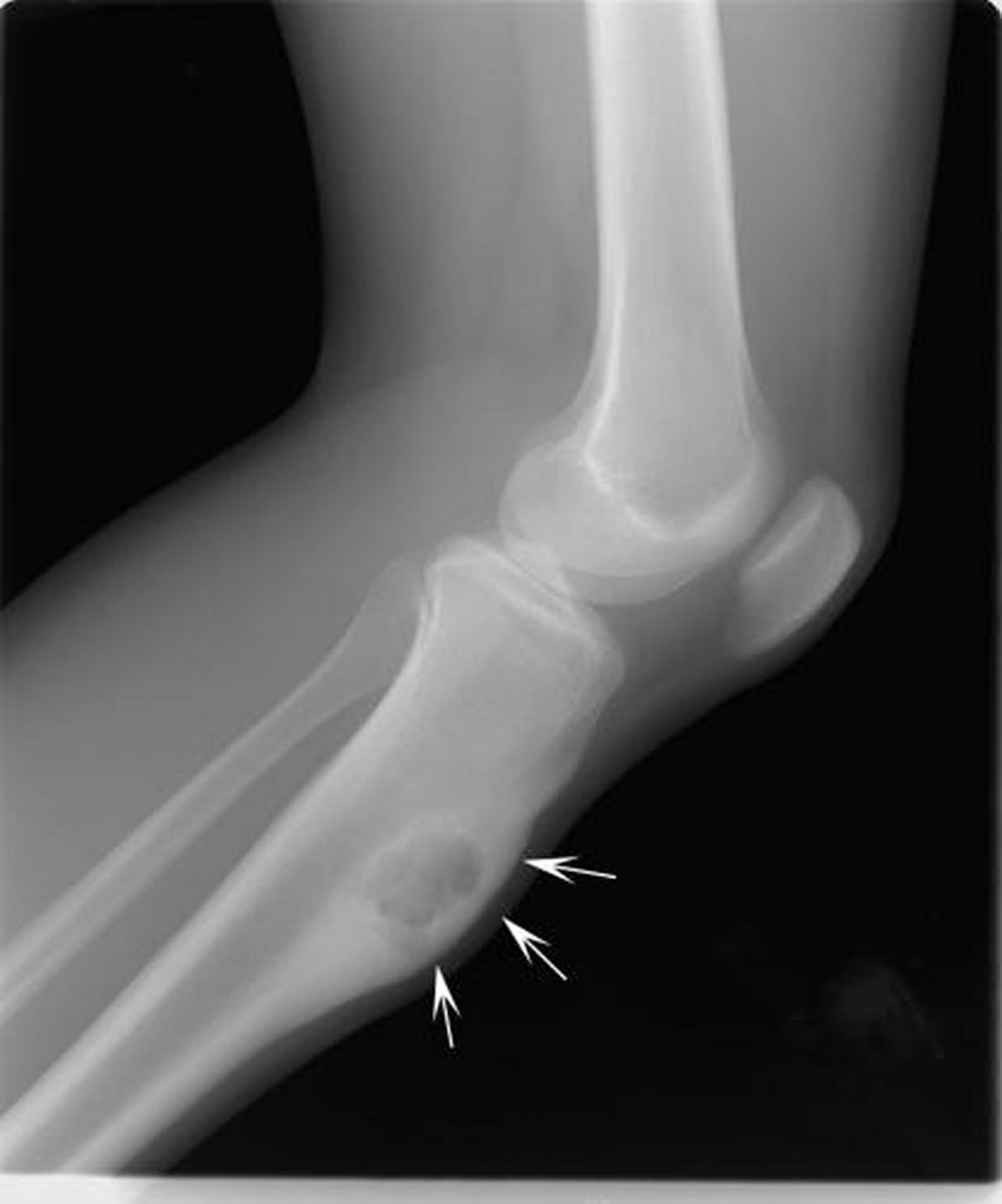
Esta radiografía de la rodilla muestra un fibroma condromixoide en la tibia debajo de la rodilla (flechas), que expande el hueso de la parte frontal.
Image courtesy of Michael J. Joyce, MD, and Hakan Ilaslan, MD.
En estos temas
Esta radiografía de la rodilla muestra un fibroma condromixoide en la tibia debajo de la rodilla (flechas), que expande el hueso de la parte frontal.
Image courtesy of Michael J. Joyce, MD, and Hakan Ilaslan, MD.