Fractura de la diáfisis del fémur (2)
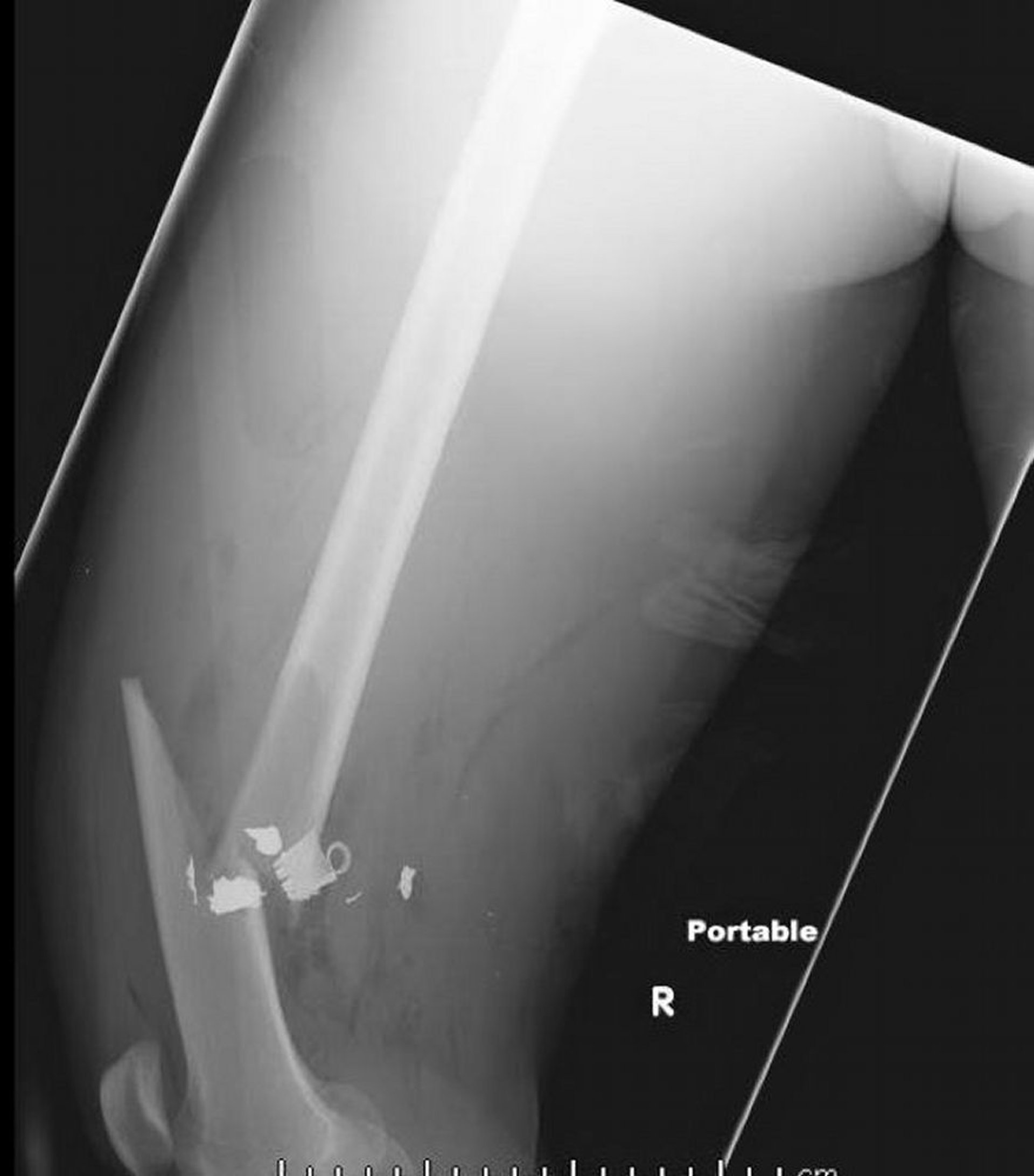
Esta radiografía lateral del fémur muestra una fractura diafisaria del fémur con aire en los tejidos blandos y cuerpos extraños metálicos retenidos.
Image courtesy of Danielle Campagne, MD.
En estos temas
Esta radiografía lateral del fémur muestra una fractura diafisaria del fémur con aire en los tejidos blandos y cuerpos extraños metálicos retenidos.
Image courtesy of Danielle Campagne, MD.