Fractura del olécranon
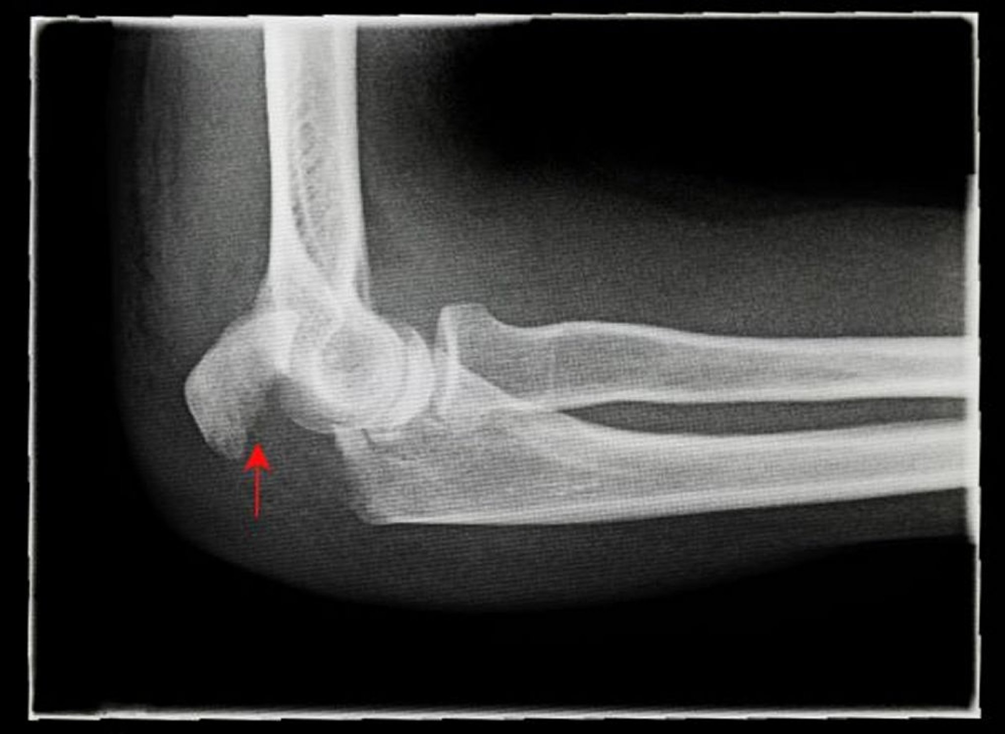
Esta radiografía lateral muestra una fractura de olécranon desplazada (flecha).
Credit line: ANTONIA REEVE/SCIENCE PHOTO LIBRARY
En estos temas
Esta radiografía lateral muestra una fractura de olécranon desplazada (flecha).
Credit line: ANTONIA REEVE/SCIENCE PHOTO LIBRARY