Fractura en rodete (de torus) del dedo
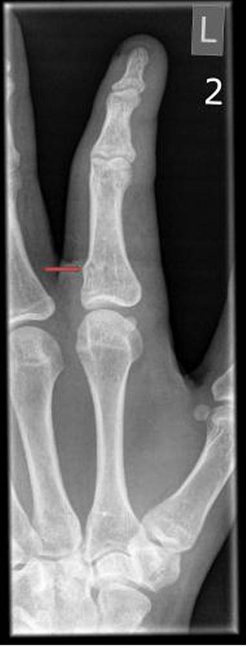
Las fracturas del rodete (torus) solo pueden evidenciarse como sutiles irregularidades en la corteza ósea.
PHOTOSTOCK-ISRAEL/SCIENCE PHOTO LIBRARY
En estos temas
Las fracturas del rodete (torus) solo pueden evidenciarse como sutiles irregularidades en la corteza ósea.
PHOTOSTOCK-ISRAEL/SCIENCE PHOTO LIBRARY