Fractura osteoporótica por compresión

Fractura osteoporótica por compresión

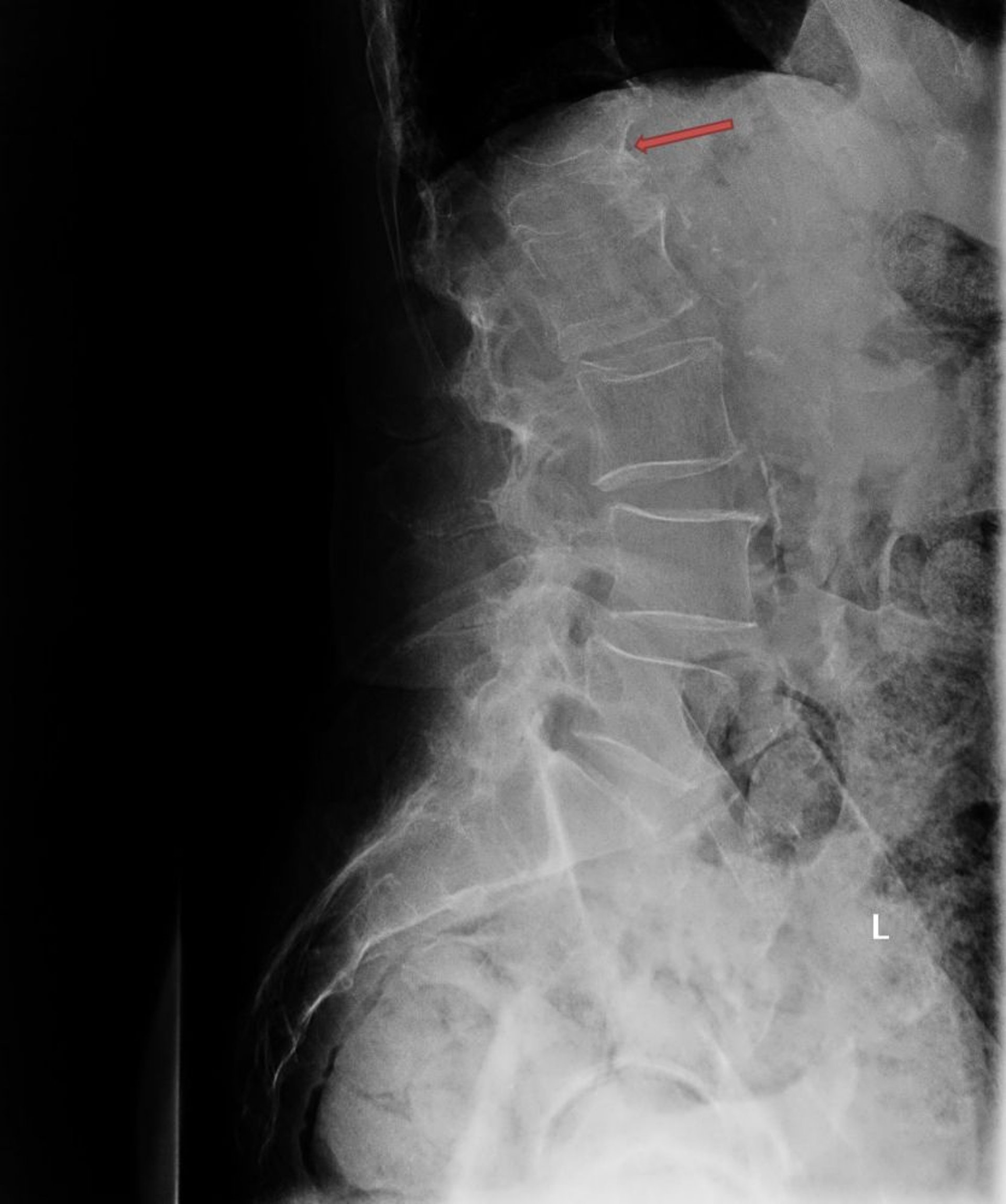
Esta radiografía muestra una fractura por compresión osteoporótica grave de la primera vértebra lumbar (L1; flecha).

Photo courtesy of Marcy B. Bolster, MD.

En estos temas