Fractura rotuliana
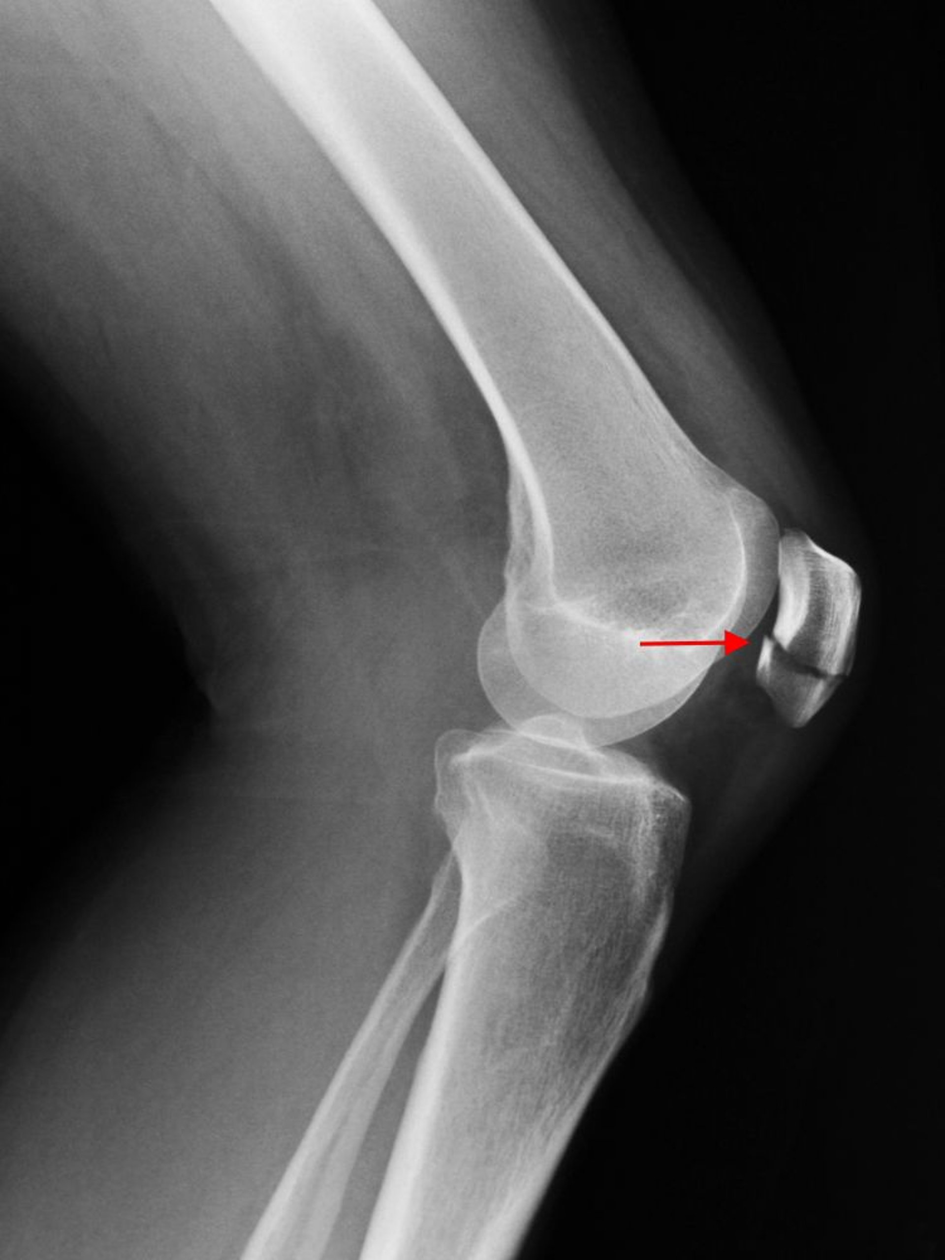
Una radiografía lateral de rodilla muestra una fractura transversal de la rótula (flecha).
SCOTT CAMAZINE/SCIENCE PHOTO LIBRARY
En estos temas
Una radiografía lateral de rodilla muestra una fractura transversal de la rótula (flecha).
SCOTT CAMAZINE/SCIENCE PHOTO LIBRARY