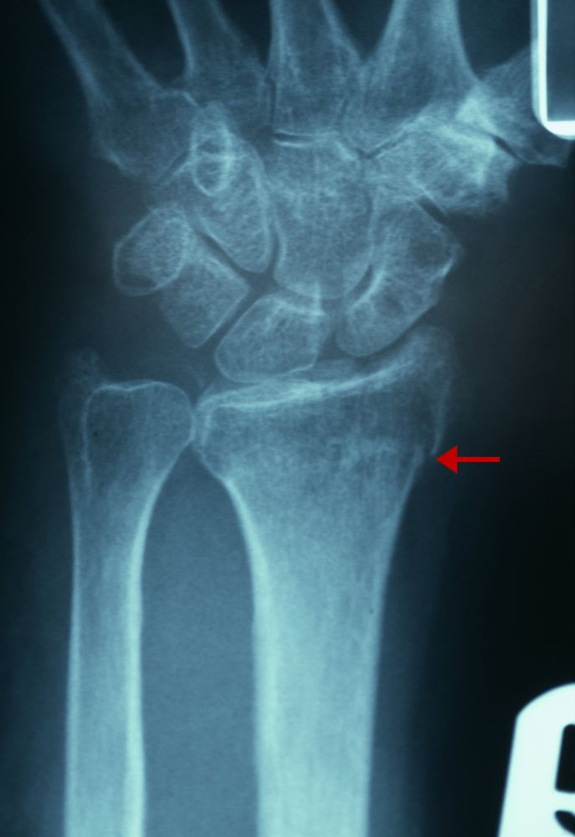
Fractura sutil del radio distal
La evidencia radiológica de esta fractura incluye una solución de continuidad en la corteza de la cara radial del radio distal (flecha) y un aumento de la densidad trabecular del radio distal.
DR P. MARAZZI/SCIENCE PHOTO LIBRARY
En estos temas
