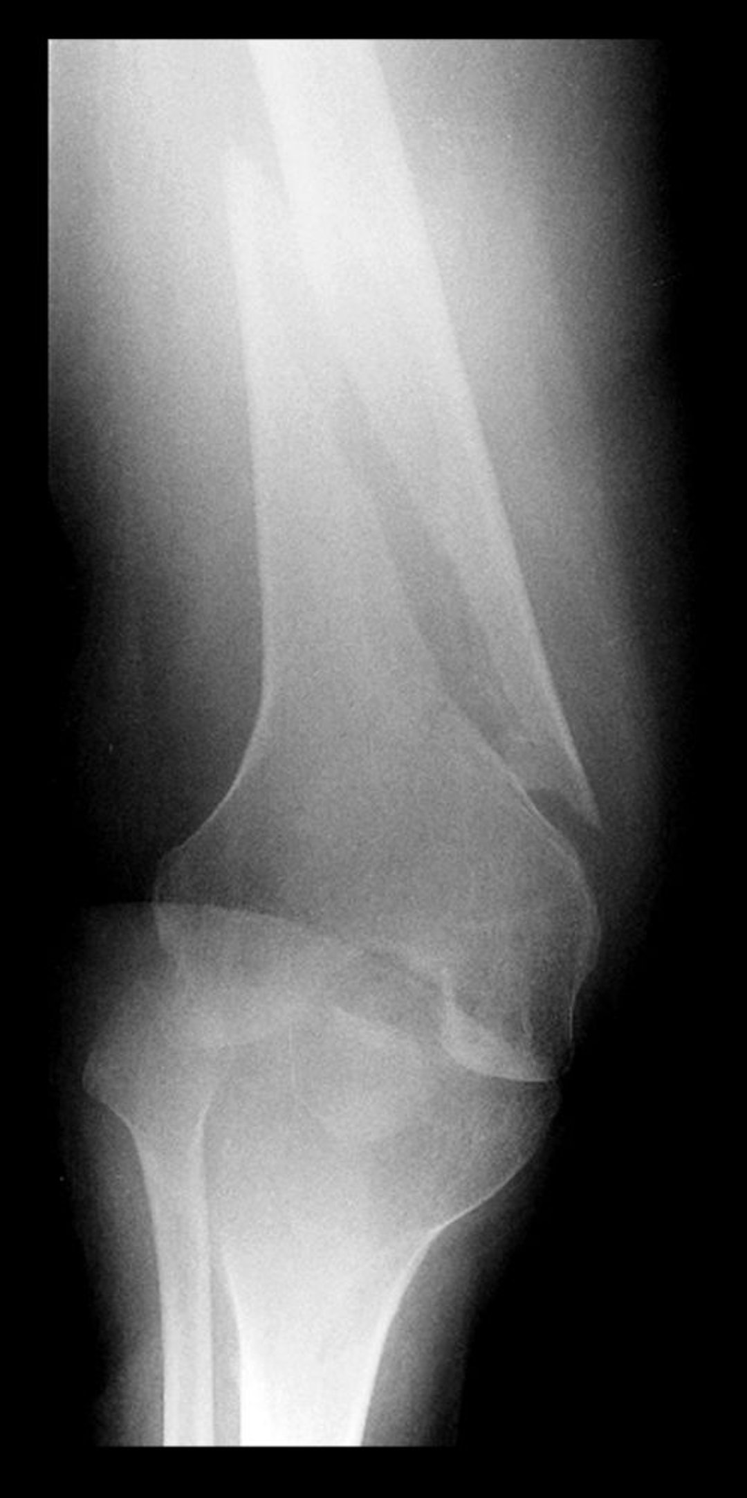
Fractura vertebral en el fémur distal
Esta radiografía del fémur distal muestra radiolucidez con un componente paralelo al eje longitudinal del hueso, lo que indica una fractura en espiral.
LIVING ART ENTERPRISES/SCIENCE PHOTO LIBRARY
En estos temas
Esta radiografía del fémur distal muestra radiolucidez con un componente paralelo al eje longitudinal del hueso, lo que indica una fractura en espiral.
LIVING ART ENTERPRISES/SCIENCE PHOTO LIBRARY