Fracturas de Lisfranc
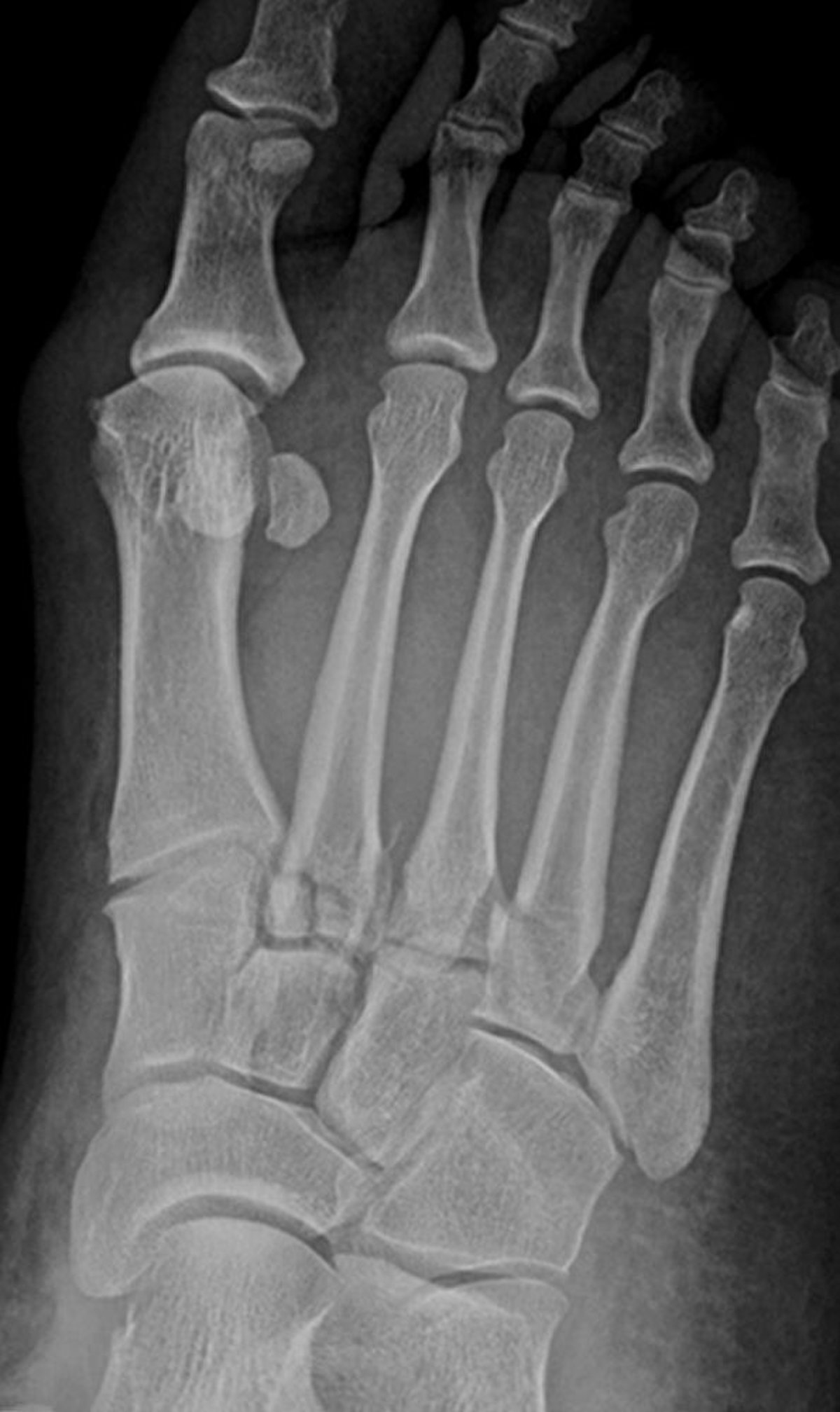
Esta radiografía muestra fracturas en la base del segundo, tercero y cuarto metatarsianos. Las articulaciones tarsometatarsianas también están afectadas.
Image courtesy of Danielle Campagne, MD.
Esta radiografía muestra fracturas en la base del segundo, tercero y cuarto metatarsianos. Las articulaciones tarsometatarsianas también están afectadas.
Image courtesy of Danielle Campagne, MD.