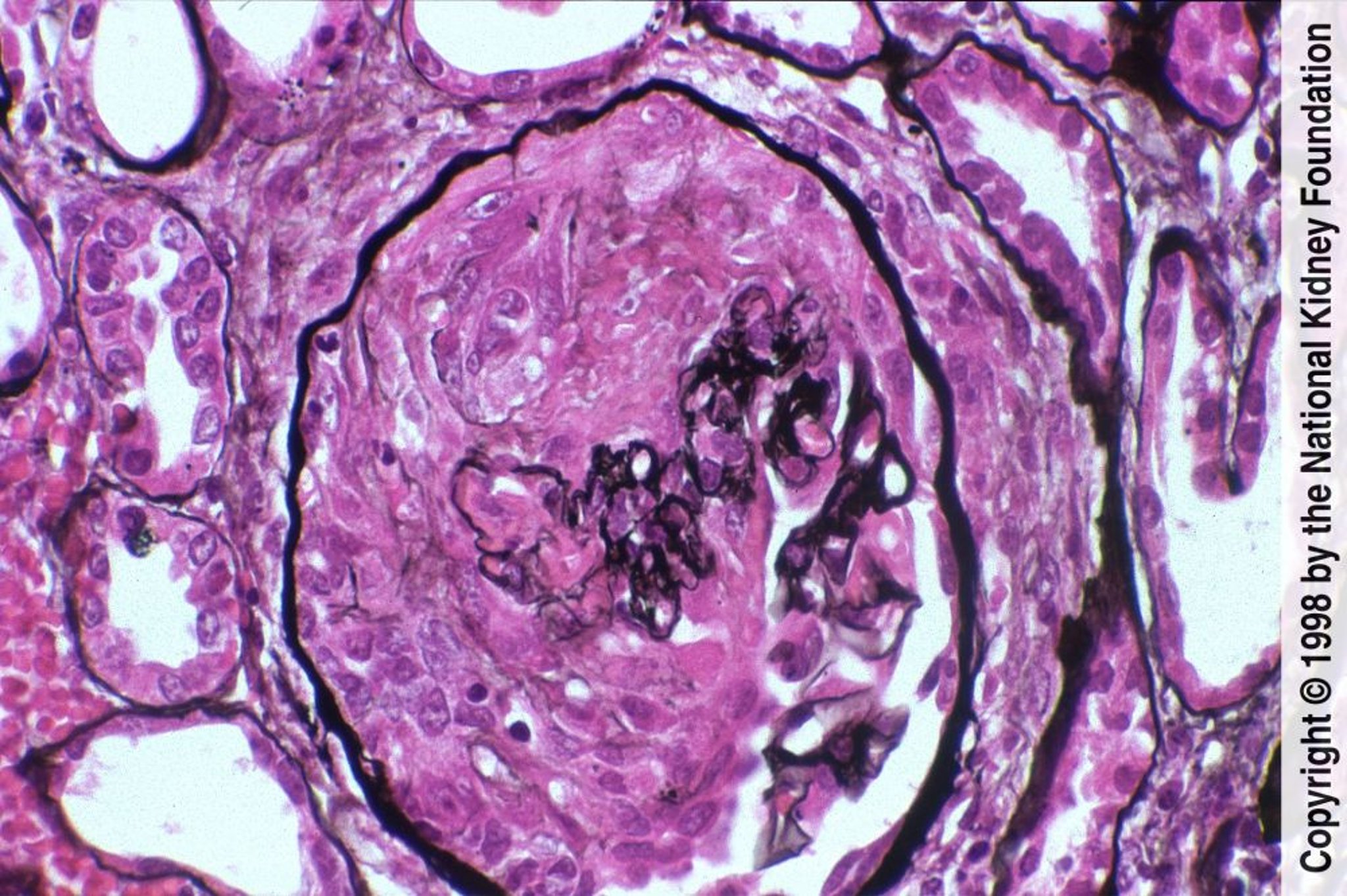
Glomerulonefritis de progresión rápida (Pauci-inmune)
La enfermedad pauciinmunitaria se caracteriza por la formación de medialunas con necrosis fibrinoide y tinción inmunofluorescente negativa (tinción de plata de Jones, ×400).
Image provided by Agnes Fogo, MD, and the American Journal of Kidney Diseases' Atlas of Renal Pathology (véase www.ajkd.org).
En estos temas
