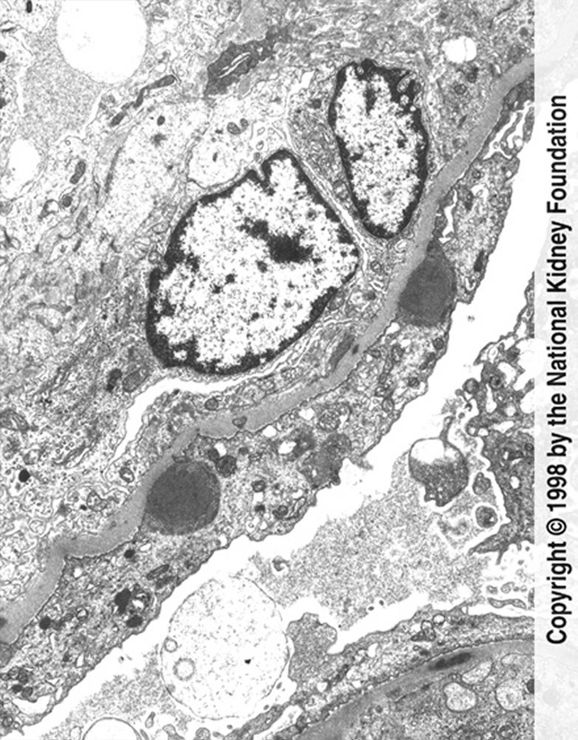
Glomerulonefritis posinfecciosa (depósito de complejos inmunes)
En la microfotografía electrónica de transmisión se observan depósitos de complejos inmunes en forma de giba (gris oscuro) con borramiento extenso de los pedicelos y proliferación endocapilar (×11.250).
Image provided by Agnes Fogo, MD, and the American Journal of Kidney Diseases' Atlas of Renal Pathology (véase www.ajkd.org).
En estos temas
