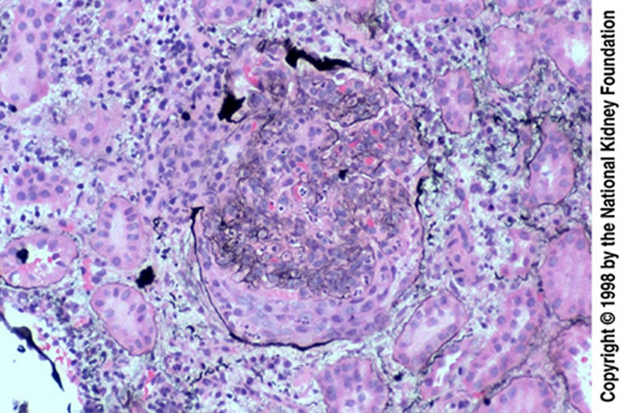
Glomerulonefritis posinfecciosa (medialunas epiteliales)
Las mediailunas epiteliales son especialmente comunes cuando la biopsia se obtiene en forma tardía, después de una respuesta fallida al tratamiento. La medialuna ha roto la cápsula de Bowman (tinción de Jones, ×200).
Image provided by Agnes Fogo, MD, and the American Journal of Kidney Diseases' Atlas of Renal Pathology (véase www.ajkd.org).
En estos temas
