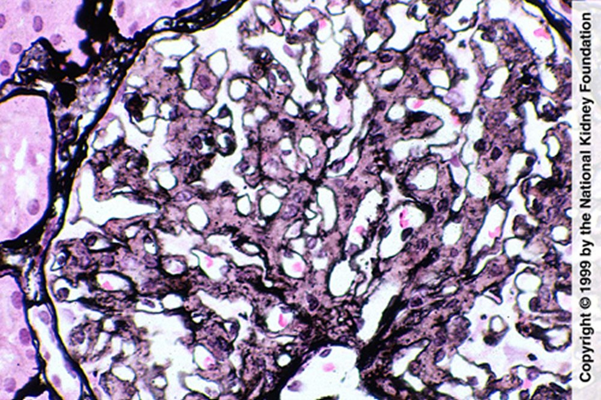
Glomerulopatía fibrilar (proliferación mesangial)
La proliferación mesangial sugiere una glomerulopatía fibrilar; sin embargo, el diagnóstico requiere tinción negativa con rojo Congo, tinción de IgG por inmunofluorescencia y demostración de fibrillas en la microscopia electrónica (tinción de plata de Jones, ×400).
Image provided by Agnes Fogo, MD, and the American Journal of Kidney Diseases' Atlas of Renal Pathology (véase www.ajkd.org).
En estos temas
