Glomerulopatía inmunotactoide
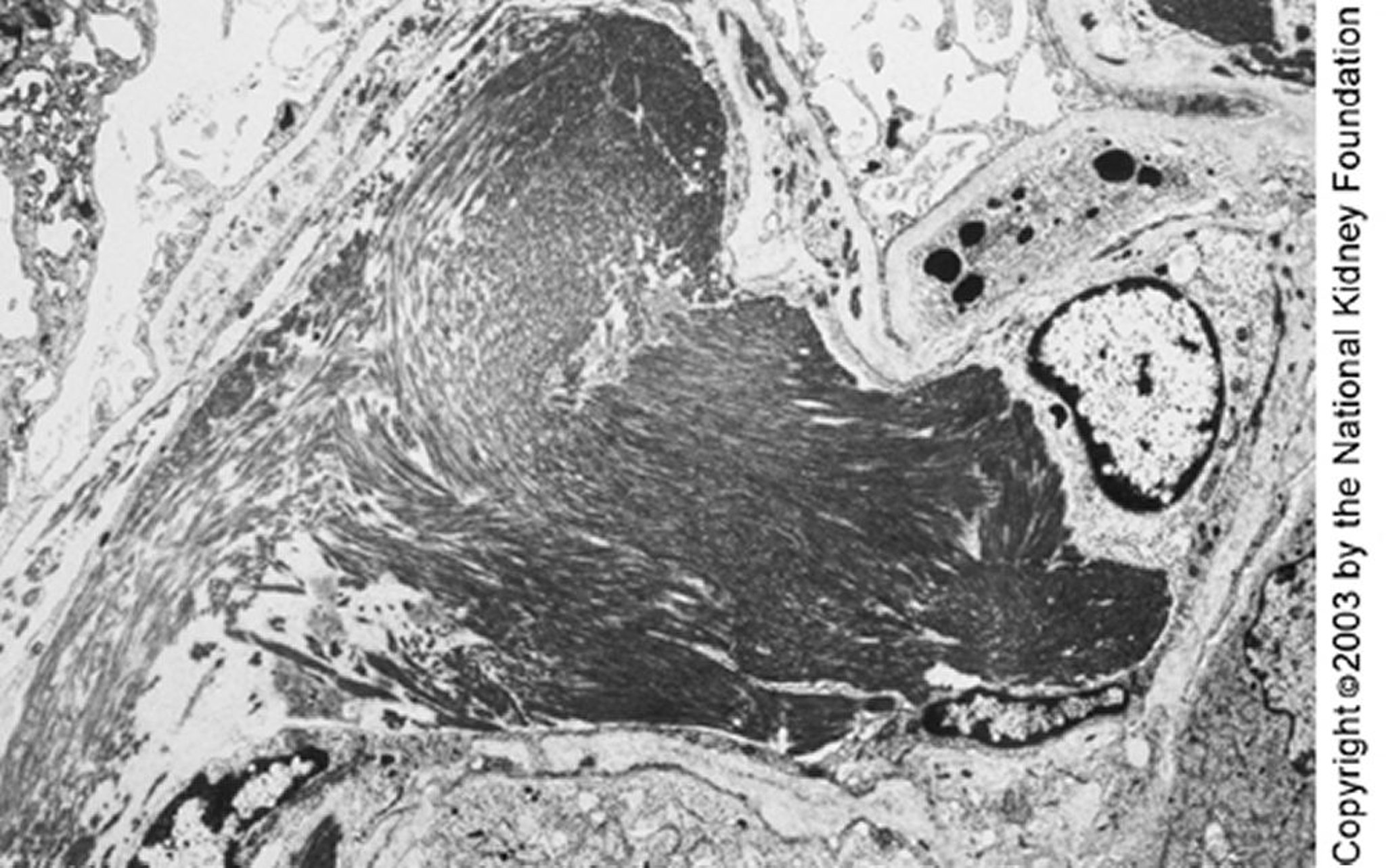
En la microscopia electrónica de transmisión pueden observarse microtúbulos grandes (de cerca de 50 nm de diámetro) organizados en ´formaciones paralelas. Los depósitos paralelos y la estructura microtubular pueden distinguir la glomerulopatía inmunotactoide de la glomerulopatía fibrilar (× 4000).
Image provided by Agnes Fogo, MD, and the American Journal of Kidney Diseases' Atlas of Renal Pathology (véase www.ajkd.org).
En estos temas
