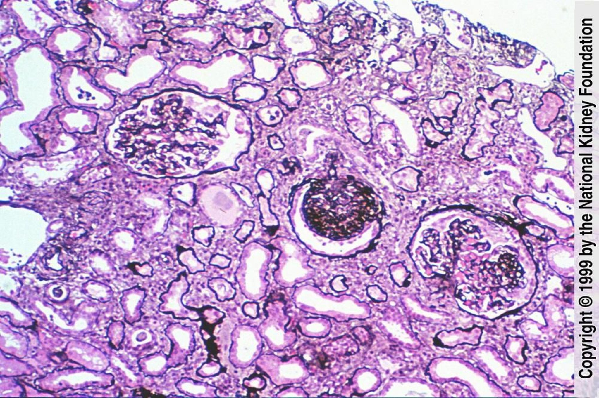
Glomerulosclerosis focal y segmentaria (esclerosis globalizada)
El glomérulo central en esta muestra de biopsia muestra esclerosis global. El hallazgo es inespecífico y puede desarrollarse en respuesta a una lesión o al envejecimiento (tinción de plata de Jones, ×100).
Image provided by Agnes Fogo, MD, and the American Journal of Kidney Diseases' Atlas of Renal Pathology (véase www.ajkd.org).
En estos temas
