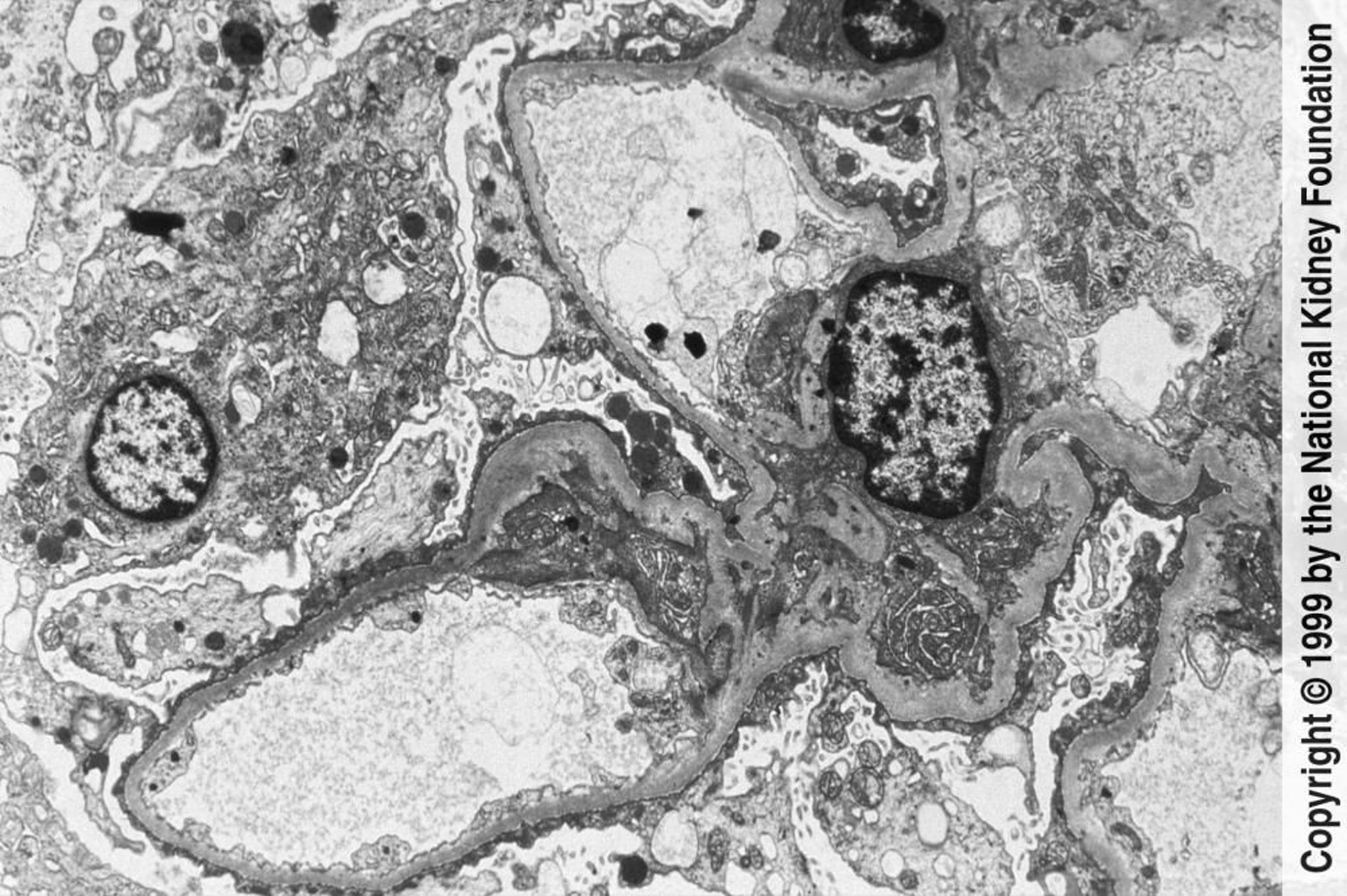
Glomerulosclerosis focal y segmentaria (pedicelos redondeados y efacelados)
Se pueden identificar pedicelos con aplanamiento extenso y erosión microscopia electrónica de transmisión (×3000).
Image provided by Agnes Fogo, MD, and the American Journal of Kidney Diseases' Atlas of Renal Pathology (véase www.ajkd.org).
En estos temas
