Hemorragia alveolar difusa
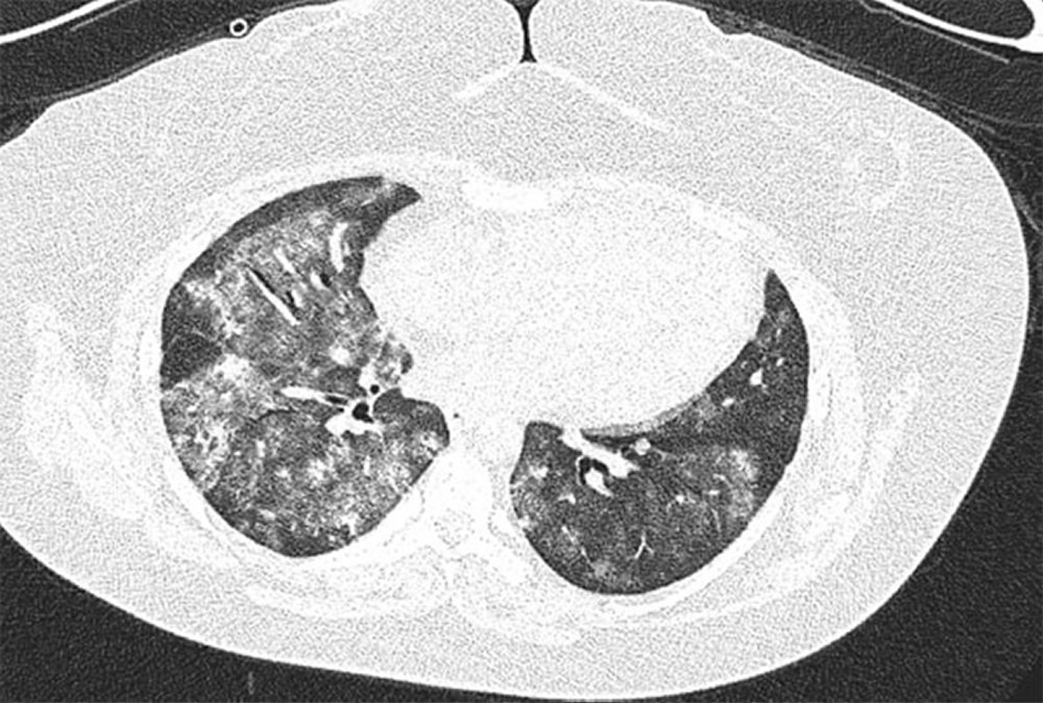
Imagen de TC de alta resolución de una mujer de 28 años con síndrome antifosfolipído con hemorragia alveolar difusa recurrente. La imagen muestra opacidades alveolares bilaterales y en parches de vidrio esmerilado con preservación subpleural. El lavado broncoalveolar confirmó la hemorragia alveolar.
Image courtesy of Joyce Lee, MD.
En estos temas
