Hemorragia intracerebral
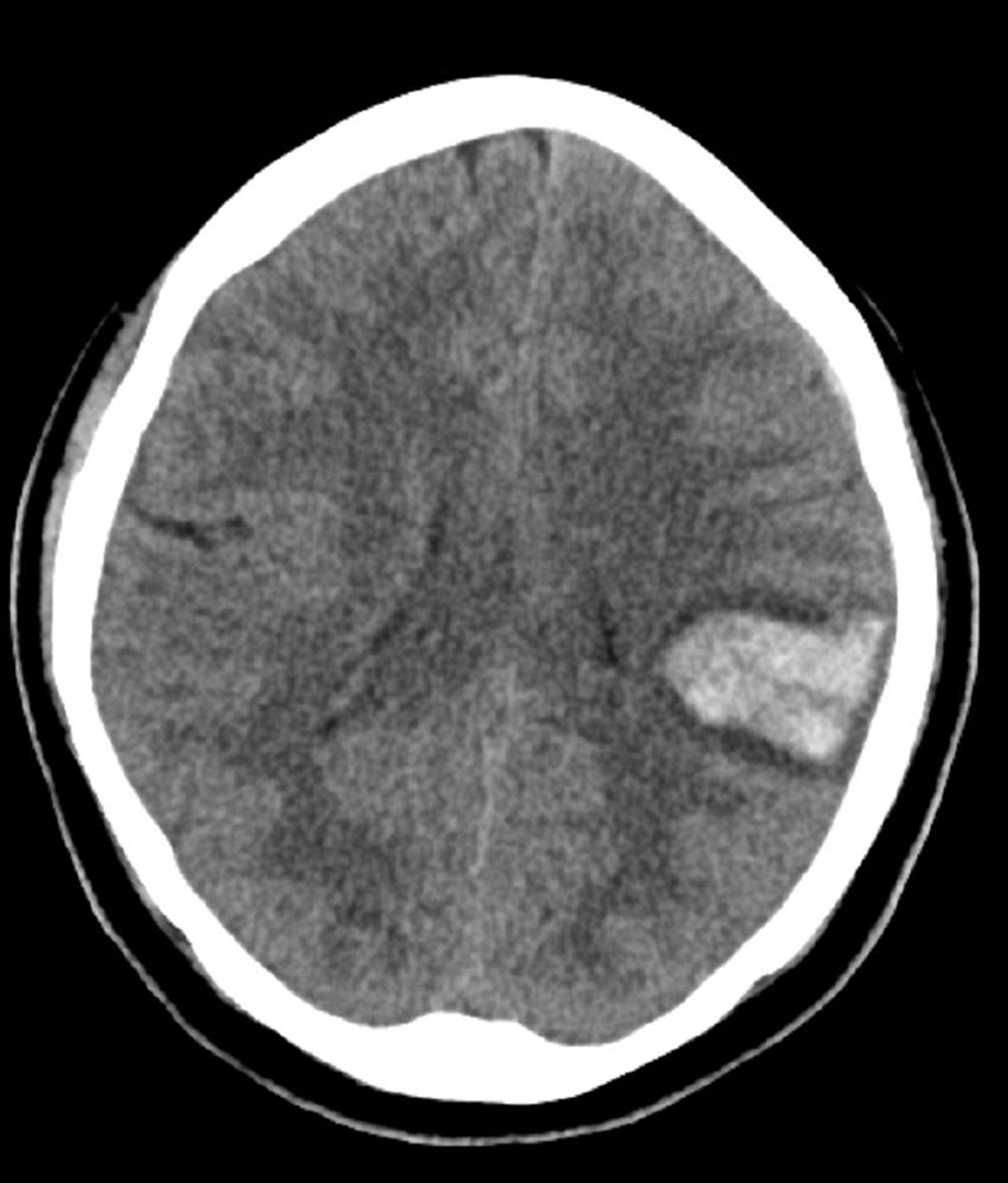
El aumento de la densidad en el cerebro izquierdo que se observa en esta TC sin contraste es compatible con una hemorragia intracerebral.
© 2017 Elliot K. Fishman, MD.
El aumento de la densidad en el cerebro izquierdo que se observa en esta TC sin contraste es compatible con una hemorragia intracerebral.
© 2017 Elliot K. Fishman, MD.