Hemorragia subaracnoidea
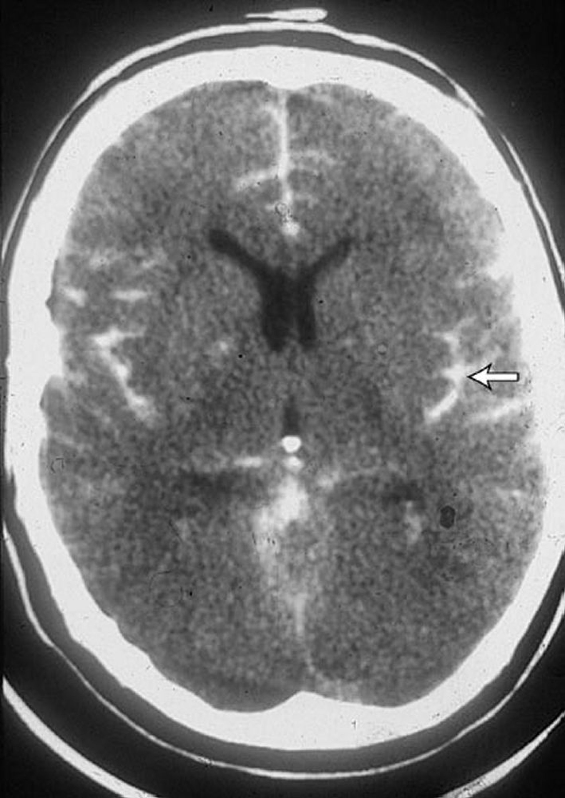
Esta TC en un paciente con una hemorragia subaracnoidea muestra sangre en los surcos (flecha). A menudo, se observa sangre en los ventrículos.
By permission of the publisher. From Lenaerts M, Couch J. In Atlas of Clinical Neurology. Edited by RN Rosenberg. Philadelphia, Current Medicine, 2002.
En estos temas
