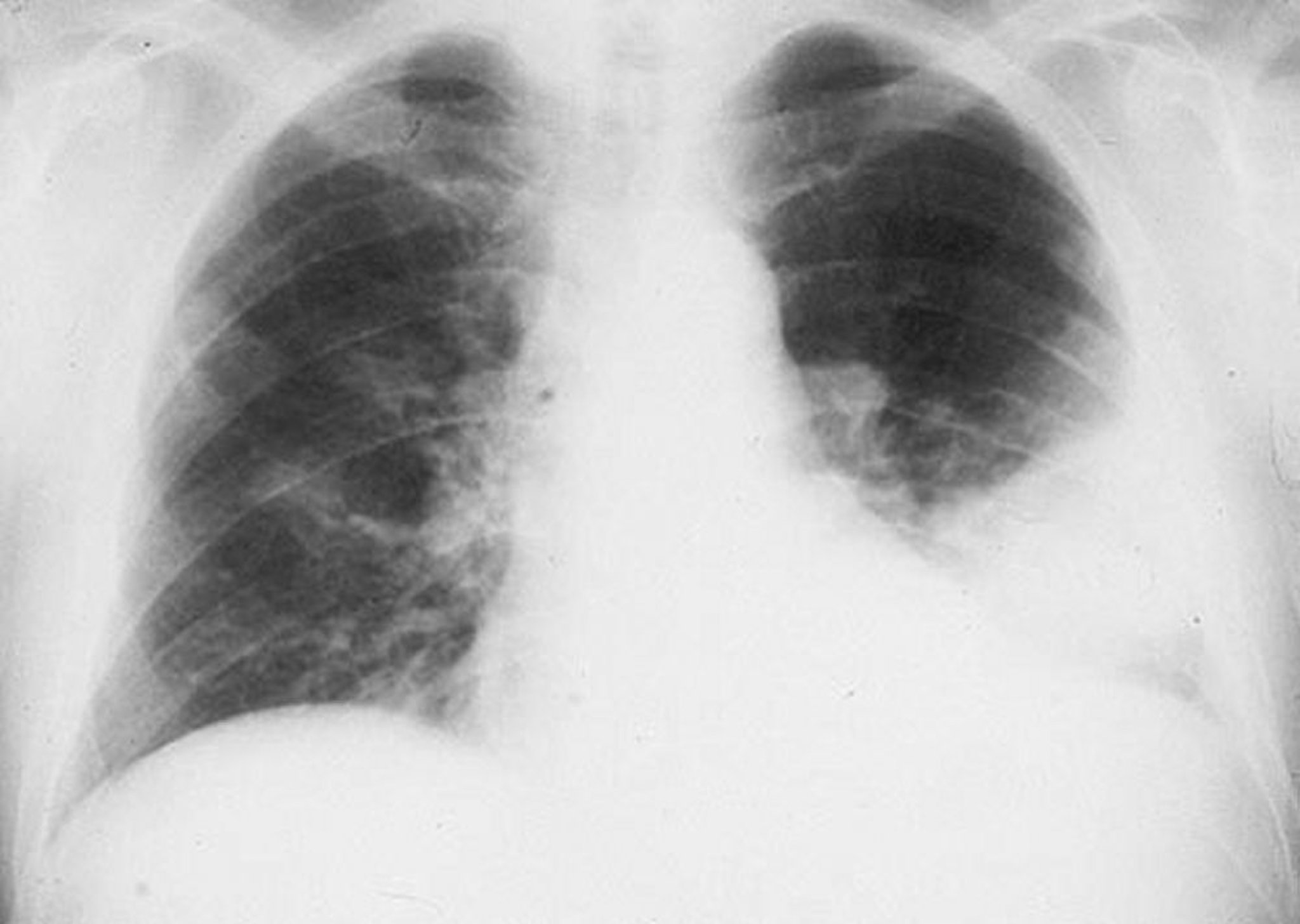
Infiltrado en el lóbulo pulmonar inferior izquierdo
Infiltrado alveolar en el lóbulo inferior izquierdo en un varón con neumonía bacteriana.
By permission of the publisher. De Roberts R. In Atlas of Infectious Diseases: Pleuropulmonary and Bronchial Infections. Publicado por GL Mandell (series editor) y MS Simberkoff. Philadelphia, Current Medicine, 1996.
En estos temas
