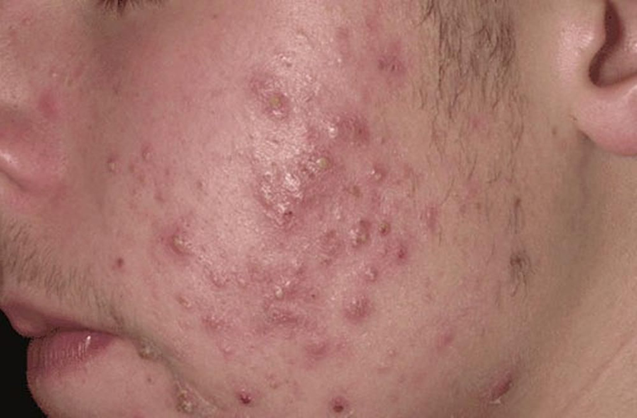
Lesión de piel (pústula)
Las pústulas son lesiones sobreelevadas, en general con un extremo amarillento que contiene pus. En la cara de esta persona con acné se ven pústulas diseminadas.
Foto cortesía de Thomas Habif, MD.
En estos temas
Las pústulas son lesiones sobreelevadas, en general con un extremo amarillento que contiene pus. En la cara de esta persona con acné se ven pústulas diseminadas.
Foto cortesía de Thomas Habif, MD.