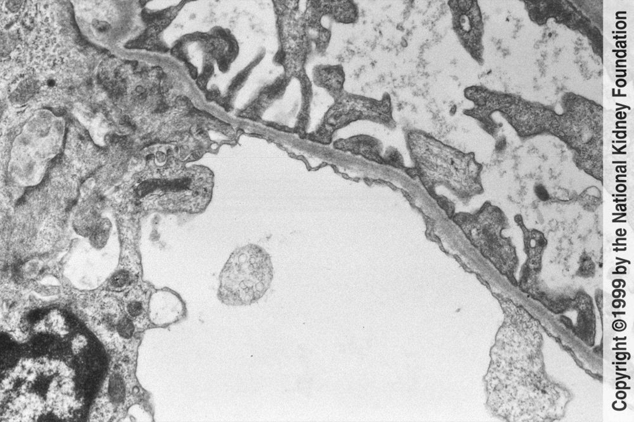
Lesión por membrana basal delgada
En la microscopia electrónica de transmisión se observa un adelgazamiento difuso de la membrana basal glomerular (espesor < 250 nm) (×3000).
Image provided by Agnes Fogo, MD, and the American Journal of Kidney Diseases' Atlas of Renal Pathology (véase www.ajkd.org).
En estos temas
