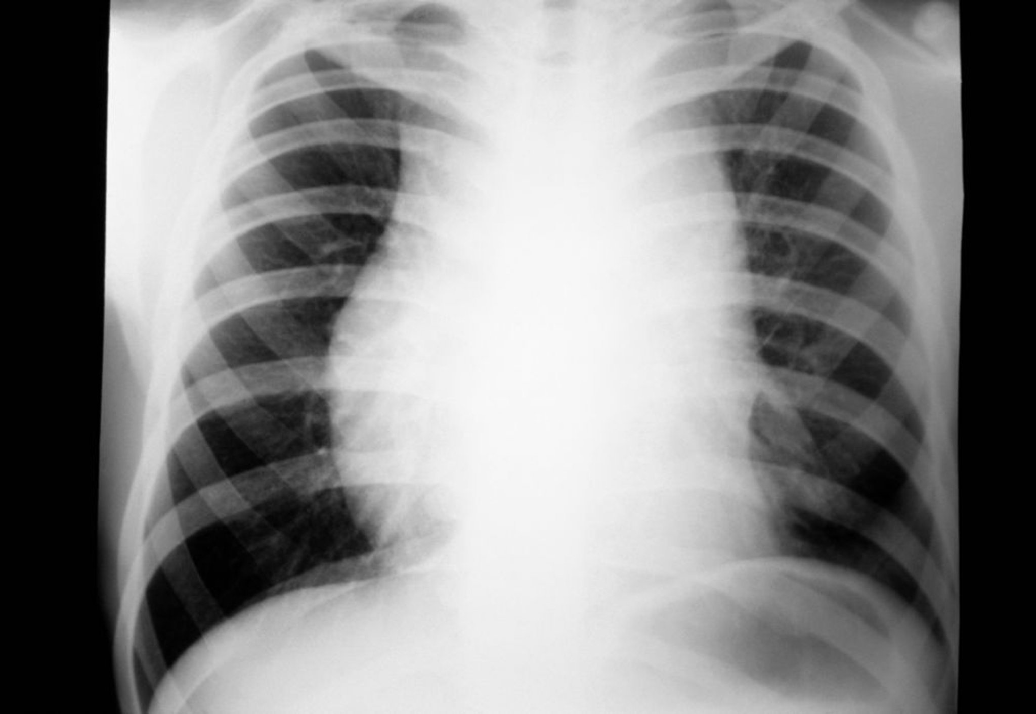
Linfoma de Hodgkin (adenopatías mediastínicas)
Radiografía de tórax de un paciente con linfoma de Hodgkin que muestra adenopatías mediastínicas.
DR P. MARAZZI/SCIENCE PHOTO LIBRARY
En estos temas
Radiografía de tórax de un paciente con linfoma de Hodgkin que muestra adenopatías mediastínicas.
DR P. MARAZZI/SCIENCE PHOTO LIBRARY