Manchas de Koplik en sarampión (2)
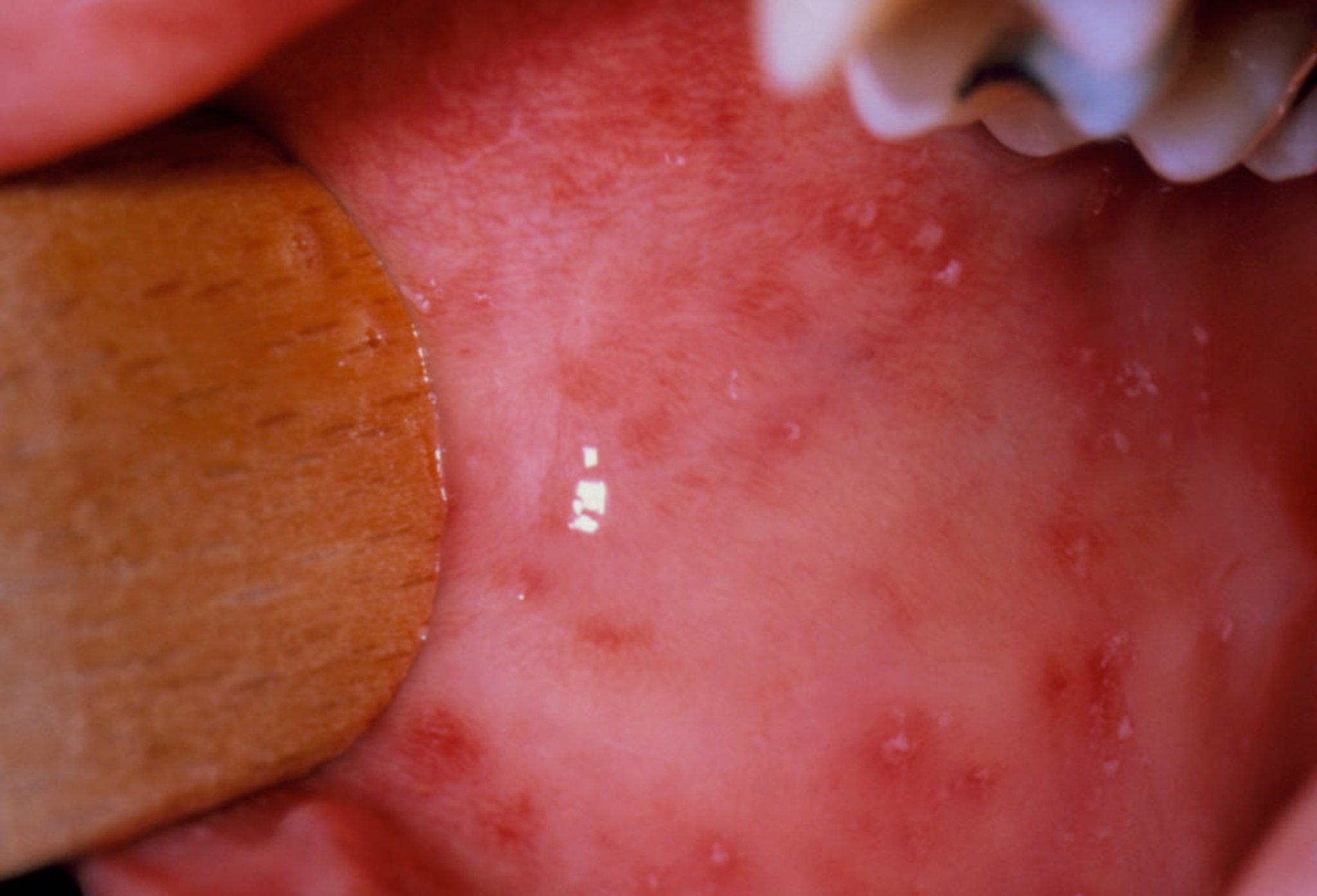
Las manchas de Koplik se describen clásicamente como máculas rojas brillantes con centros blancos o azul-blanquecino que se parecen granos de arena. Pueden aparecer en cualquier lugar de la boca, en general preceden al exantema y son patognomónicas del sarampión.
DR P. MARAZZI/SCIENCE PHOTO LIBRARY
En estos temas
