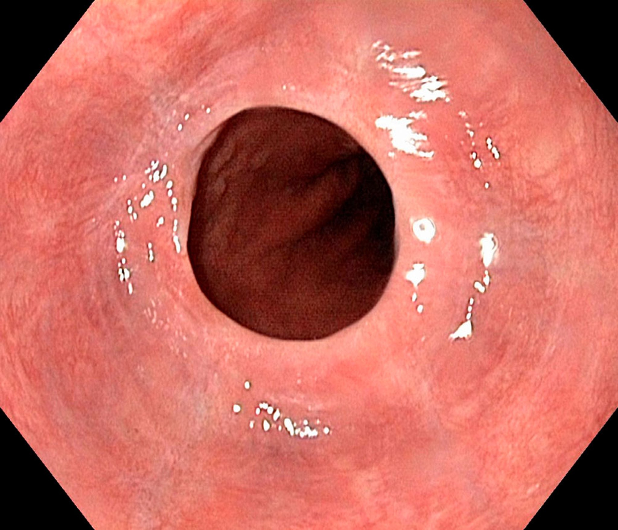
Membrana esofágica
Esta imagen muestra una membrana esofágica, una fina membrana que crece a través de la luz del esófago medio o superior.
GASTROLAB/SCIENCE PHOTO LIBRARY
En estos temas
Esta imagen muestra una membrana esofágica, una fina membrana que crece a través de la luz del esófago medio o superior.
GASTROLAB/SCIENCE PHOTO LIBRARY