Meningioma parasagital
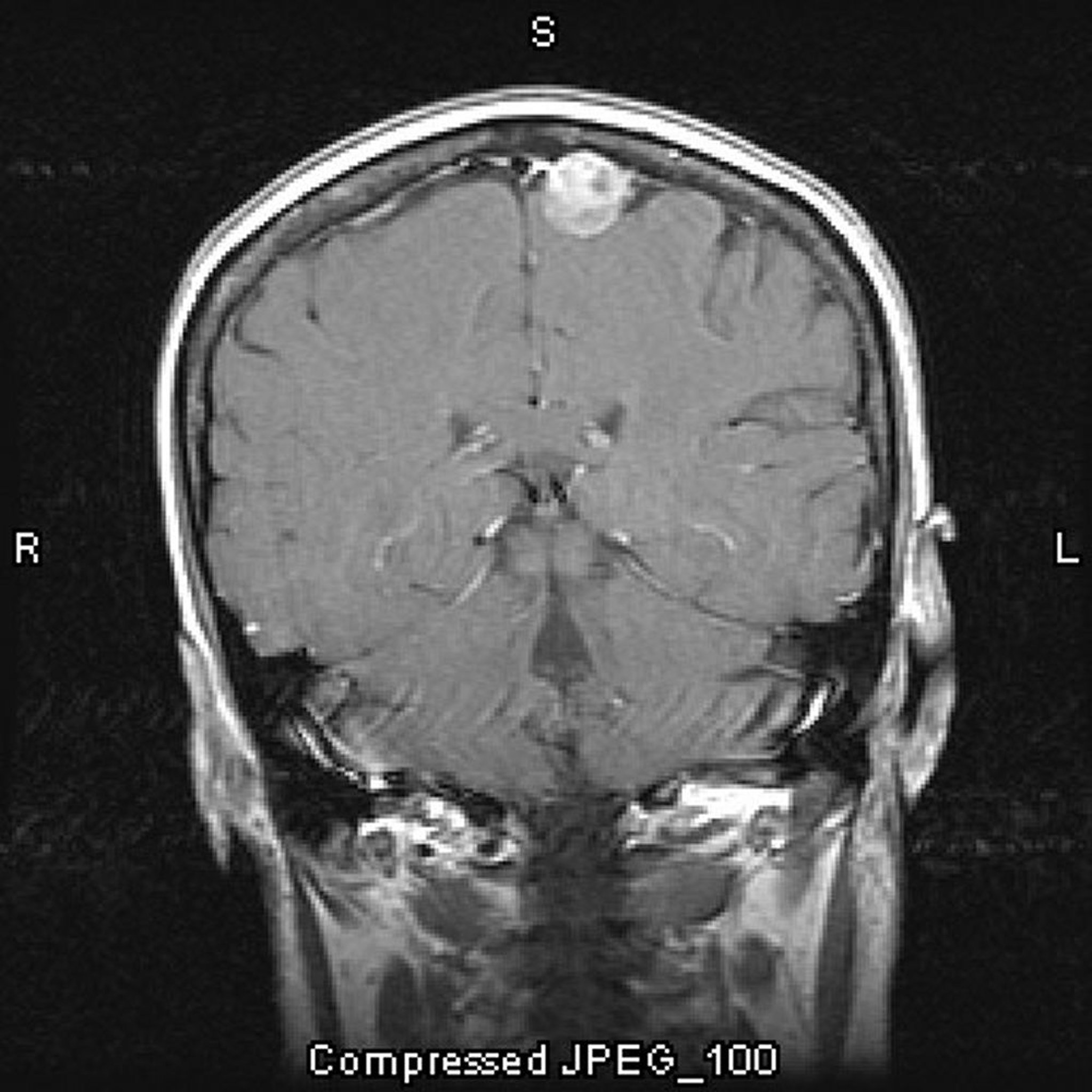
Este RM con contraste que muestra un meningioma. La ubicación parasagital es típica de los meningiomas.
Image courtesy of William R. Shapiro, MD.
En estos temas
Este RM con contraste que muestra un meningioma. La ubicación parasagital es típica de los meningiomas.
Image courtesy of William R. Shapiro, MD.