Meningitis tuberculosa
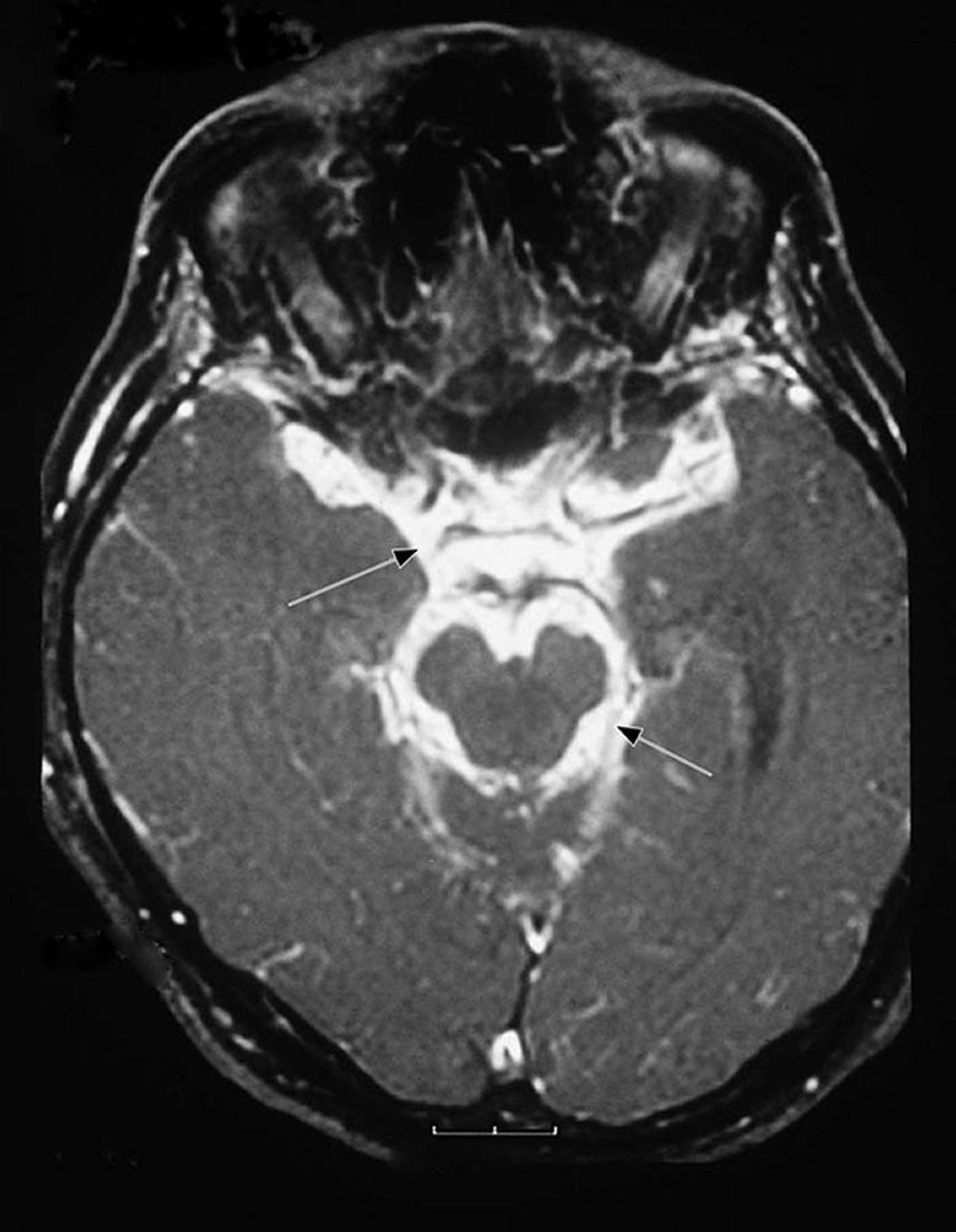
Esta resonancia magnética (RM) de un paciente con meningitis tuberculosa muestra un exudado inflamatorio intenso en la base del encéfalo (meninges basilares [flechas]) y alrededor del tronco encefálico.
Image courtesy of John E. Greenlee, MD.
En estos temas
